Wichtiger Sicherheitshinweis: Pathorama wurde zwischen dem 26. und 27. Dezember 2025 angegriffen. Falls Sie die Website in diesem Zeitraum besucht haben, lesen Sie bitte die wichtigen Informationen hier:
Zur Information

Staats/ Follikuläres B-Zell Lymphom

Diagnose
Follikuläres B-Zell Lymphom
Diagnose Gruppe
maligner Tumor
Topographie Gruppe
Lymphatische Gewebe, KM, Milz
Topographie
Lymphknoten, abdominal
Einleitung
Histogenese:
Das follikuläre Lymphom gehört zu den reifzelligen B-Zell-Lymphomen.

Genetik:
Bei 80% der follikulären Lymphome kann die Translokation t(14;18) nachgewiesen werden. Diese Translokation bringt das Protoonkogen BCL-2 unter Transkriptionskontrolle des Immunglobulin Schwerkettengens. Bcl-2 kann in den neoplastischen Keimzentren immunhistochemisch nachgewiesen werden (in reaktiven Keimzentren negativ). Das Produkt der t(14;18) Translokation kann durch Polymerase Kettenreaktion oder Fluoreszenz in situ Hybridisierung nachgewiesen werden und wird für Diagnosestellung und Nachkontrollen eingesetzt.

Morphologie:
Das Lymphom zeichnet sich aus durch ein follikuläres Wachstum mit +/- diffusen und sklerosierten Arealen. Die neoplastischen Follikel erscheinen unscharf begrenzt, zeigen keine Polarisierung und eine Mantelzone fehlt oft. Die neoplastische Zellpopulation besteht meist aus einem Gemisch von Zentrozyten und Zentroblasten. In den neoplastischen Follikeln fehlen Sternhimmelmakrophagen.

Verlauf:
Der Verlauf ist meisten über Jahre (Jahrzehnte) indolent, undulierend, mit rezidivierenden Lymphknotenschwellungen. In 25-30% der Fälle kommt es früher oder später zur Transformation in ein grosszelliges B-Zell Lymphom mit rasch progredientem klinischen Verlauf.

update 30. August 2012
Klinik
Vorkommen:
Das follikuläre Lymphom macht ca. 20% aller B-Zell Lymphome in Europa aus. Es tritt im späteren Erwachsenenalter auf (Durchschnitt 59 Jahre), selten vor dem 20. Lebensjahr. Frauen sind leicht häufiger betroffen als Männer. Überdurchschnittlich häufig sind retroperitoneale Lymphknoten betroffen.

Symptomatik:
Das follikuläre Lymphom befällt vor allem Lymphknoten, aber auch Milz, Knochenmark (40%) und Haut. Bei Diagnosestellung liegt in zwei Dritteln der Fälle ein ausgedehntes Leiden vor. Abgesehen von einer persistierenden schmerzlosen Lymphadenopathie sind die Patienten trotz ausgedehnter Erkrankung meist asymptomatisch. Nur wenige Patienten haben Allgemeinsymptome (im Gegensatz zum Hodgkin Lymphom).

Diagnostik:
Für die Diagnosestellung ist eine Exzisionsbiopsie eines befallenen Lymphknotens (grösster Knoten) essentiell, bei extranodaler Erkrankung eine Biopsie aus dem befallenen Organ. Eine Feinnadelpunktion ist für die initiale Lymphomdiagnose nicht ausreichend.

Therapie:
Da viele Patienten bei Diagnosestellung asymptomatisch und mit konventioneller Chemotherapie nicht heilbar sind, wird bei vielen Patienten eine watch-and-wait Taktik mit engmaschigen Kontrolluntersuchungen empfohlen. Ein Grossteil der Patienten braucht im Verlauf eine Therapie wegen systemischen Symptomen, zunehmender Lymphadenopathie, Splenomegalie oder Knochenmarkinsuffizienz bei Knochenmarkbefall. Alkylierende Chemotherapeutika wie Chlorambucil, Cyclophosphamid oder Bendamustin mit oder ohne Steroide kommen in solchen Fällen oft zur Anwendung. Rituximab, ein Antikörper gegen das CD20 Antigen, welches in den meisten Tumorzellen vorhanden ist, wird standardmässig in der Behandlung follikulärer Lymphome eingesetzt.

update 30. August 2012
Normalbefund
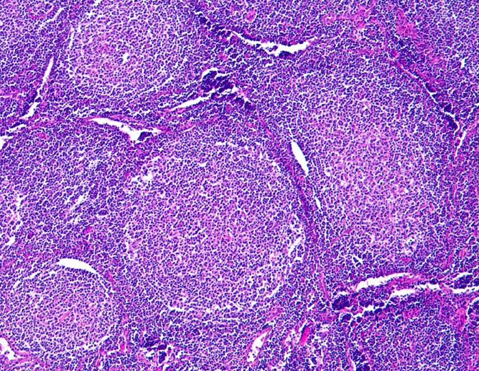
Morphologie
Morphologische Merkmale:
  • Zerstörung der Lymphknotenarchitektur.
  • Dichtstehende monotone neoplastische Follikel in Rinde und Mark (follikuläres Wachstumsmuster).
  • Nicht polare unscharf begrenzte Follikel ohne dunkle Mantelzone.
  • Monotone Follikelzentren bestehend aus kleinen Zentrozyten, follikulären dendritischen Zellen und Zentroblasten mit mehreren randständigen Nukleolen.
  • Fehlen von Kerntrümmermakrophagen in den Keimzentren.
Das sollte der Kliniker dem Pathologen mitteilen:
  • Ausdehnung der Erkrankung.
  • Hinweise auf reaktives Geschehen (Bsp. viraler Infekt).
Praxis-Tipp:
  • Gewebe sofort frisch einsenden in mit NaCl getränkter steriler Gaze.
  • Lymphknoten nicht quetschen und Kauterartefakte vermeiden.
Makroskopie
Befund
Pathologischer Befund
Normalbefund
Datum
Ersteintrag: 04.11.2018
Update: 04.11.2018