Wichtiger Sicherheitshinweis: Pathorama wurde zwischen dem 26. und 27. Dezember 2025 angegriffen. Falls Sie die Website in diesem Zeitraum besucht haben, lesen Sie bitte die wichtigen Informationen hier:
Zur Information

Staats/ Sarkoidose des Lymphknotens

Diagnose
Sarkoidose des Lymphknotens
Diagnose Gruppe
Systemerkrankung/Immunpathologie
Topographie Gruppe
Lymphatische Gewebe, KM, Milz
Topographie
Lymphknoten, inguinal
Einleitung
Morphologie:
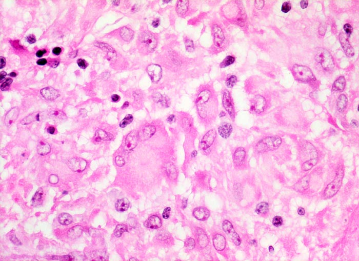
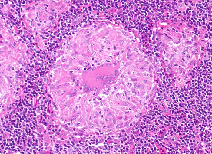
Sarkoidosegranulome bestehen aus Epitheloidzellen mit einem peripheren Lymphozytensaum. Mehrkernige Riesenzellen, meistens solche vom Langhans-Typ mit hufeisenförmig angeordneten Kernen und Asteroidkörperchen (> 4173) können zusätzlich vorhanden sein. Diese Granulome enthalten meist keine Nekroseherde (=produktives Granulom). Man findet diesen Granulomtyp hauptsächlich in Lymphknoten, aber auch in inneren Organen und in der Haut. Die Sarkoidosegranulome zeigen in späteren Stadien eine charakteristische perigranulomatöse und die Granulome septierend unterteilende Fibrose (> 4015).
 
 Differentialdiagnose epitheloidzelliger Entzündungsreaktionen:
 
·         Kleinherdige Epitheloidzellansammlungen ("sarcoid-like lesions") bei Toxoplasmose oder im Lymphabflussgebiet von zerfallenden Tumoren. Epitheloidzellgruppen findet man aber auch bei Seminomen (> 3072) und einigen malignen Lymphomen wie dem M. Hodgkin (epitheloidzellreiche Form des M. Hodgkin vom Mischtyp) oder bei manchen Non-Hodgkin-Lymphomen.

·         Epitheloidzell-Granulome ohne verkäsende Nekrose (Sarkoidose-Typ) (> 4709). Bei chronisch-entzündlichen Darmerkrankungen, hauptsächlich beim M. Crohn (> 1284) und bei der primären biliären Leberzirrhose können Granulome vom Sarkoidosetyp vorkommen, ebenso nach Inhalation von Beryllium-, Aluminium- oder organischen Stäuben.

·         Epitheloidzell-Granulome mit verkäsender Nekrose (Tuberkulose-Typ) (> 4833).

·         Epitheloidzell-Granulome mit zentralem Abszeß (Pseudotuberkulose-Typ) (> 3926).

Differentialdiagnose histiozytär granulomatöser Reaktionsformen:
 
 
·         Granulome vom rheumatischen Typ (> 3533).

·         Granulome vom Fremdkörpertyp (> 4657).

update 1. September 2020 
Klinik
Symptomatik, Diagnostik und Therapie richten sich nach der Ursache der granulomatösen Lymphadenititis. (Weitere Informationen zur Klinik der Sarkoidose im HiPaKu Präparat zur Lungensarkoidose).

Anmerkung:
Produktive Granulome können bei guter Abwehrlage auch bei einer Tuberkulose (> 1247) auftreten. Es ist daher wichtig, vor Beginn einer immunsuppressiven Therapie auf jeden Fall eine Tuberkulose auszuschließen (Ziehl-Neehlsen Färbung, klinische Befunde, Kultur).

update 1. September 2020 
Morphologie
Morphologische Merkmale: 
  • Wenig erhaltenes Lymphknotengewebe (blau). 
  • Konfluierende Granulome aus grossleibigen Epitheloidzellen. 
  • Wenige mehrkernige Riesenzellen. 
  • Kleinere Nekroseareale im Zentrum grösserer Granulome. (Die Nekrosen sind untypisch für die Sarkoidose, können aber bei grossen Granulomen gelegentlich vorkommen). 
  • Perigranulomatöse Fibrose. Das sollte der Kliniker dem Pathologen mitteilen: 
  • Weitere Organmanifestationen, insbesondere Lungenbefund. 
  • Vorliegen einer anderen Grunderkrankung, die mit Granulombildung einhergehen kann. 
  • Resultat der Bronchoalveolären Lavage (HS Quotient). 
Makroskopie
Befund
Pathologischer Befund
Normalbefund
Datum
Ersteintrag: 10.07.2019
Update: 31.08.2020