Wichtiger Sicherheitshinweis: Pathorama wurde zwischen dem 26. und 27. Dezember 2025 angegriffen. Falls Sie die Website in diesem Zeitraum besucht haben, lesen Sie bitte die wichtigen Informationen hier:
Zur Information

Basel 3BA FS/ Plazenta accreta

Diagnose
Plazenta accreta
Diagnose Gruppe
organspezifische Erkrankung
Differenzialdiagnose
Topographie Gruppe
Paidopathologie
Topographie
Plazenta
Einleitung
Definition:
Juxtaposition von Plazentarzotten und Myometrium durch Defekt der Dezidua und überschiessendes Einwachsen von Trophoblast.
In Abhängigkeit von Tiefe der Trophoblastinvasion Unterteilung in Plazenta accreta, increta und percreta.

Risikofaktoren:
Stetige Zunahme, wahrscheinlich durch zunehmende Sectiorate. Genaue Nahttechnik nach Sectio scheint eine Rolle zu spielen.

Pathogenese:
Ursache ist eine defiziente Dezidualisierung mit nachfolgender Verankerung der Plazentarzotten in der Muskulatur des Myometriums. Normalerweise trennt sich die Plazenta durch die Nitabuch Fibrinschicht, innerhalb der Dezidua basalis durch Scherkräfte zwischen der kontraktilen Muskulatur und der rigiden, nicht-kontraktilen Plazenta. Abtrennung innerhalb der Dezidua im Bereich fragiler Deziduazellen. Ist die Dezidua nicht angelegt, ergibt sich keine Trennschicht und fehlt somit die Abtrennbarkeit der Plazenta. Die Zone der Haftung kann klein sein, sodass die Unvollständigkeit der Plazenta zunächst nicht bemerkt wird. Die Plazenta accreta stellt ein charakteristisches Beispiel einer mangelhaften Dezidualisierung des Endometriums dar und zeigt beispielhaft die Bedeutung endometrialer Dezidualisierung zur Kontrolle der Trophoblastinvasion. Gleichermassen handelt es sich bei einer Tubengravidität in nicht-dezidualiserter Tuba uterina immer auch um eine Plazenta accreta und schliesslich Plazenta percreta mit Tubarruptur! Die Tubarruptur entsteht normalerweise nicht durch Auftreibung und Druckbelastung der Tubenwand, sondern durch die vollständige trophoblastäre und villöse Durchsetzung der relativ dünnen Tubenwandmuskulatur. Eine ähnliche Situation entsteht im Bereich des unteren Uterinsegmentes und der Endozervix wo die Dezidualisierung nicht vollständig ausgebildet wird.

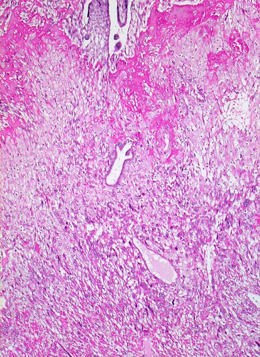
Morphologie:
  • Plazenta accreta: Plazentarzotten haften dem Myometrium an ohne deziduale Zwischenschicht. Fibrin und Trophoblast kann vorhanden sein.
  • Plazenta increta: Plazentaimplantation innerhalb des Myometriums.
  • Plazenta percreta: Penetration der Plazentarzotten durch die gesamte Dicke des Myometriums hindurch.
Klinik
Epidemiologie:
Spontanfrequenz 1:7'000 Spontanschwangerschaften ohne vorherige obstetrische Intervention. Bei Plazenta praevia 1.18%. zunehmendes Vorkommen mit zunehmender gynäkologischer und obstetrischer Intervention. Prädisposition nach Curettage und/ oder Sectio caesarea. Das Risiko einer Plazenta accreta steigt mit jeder zusätzlichen Intervention weiter an. Weitere Risikofaktoren sind Plazenta praevia, Submuköse Leiomyome, Implantation im Uterushorn/ Tubenwinkel, Plazenta membranacea und Uterusfehlbildungen.

Klinische Symptomatik:
  • Plazenta accreta:Manifestation nach der Geburt des Kindes in der Plazentarphase, wenn die Plazenta sich nicht löst, retiniert wird, oder sich inkomplett ablöst.
  • Plazenta increta oder Percreta: Manifestation häufiger früher während der Schwangerschaft durch Blutung oder Uterusruptur.
  • Alpha-fetoproteinerhöhung bei 45% der Patientinnen.


Diagnostik:
Diagnosestellung im Ultraschall oder MRI. Früheste Diagnose in der 14. Schwangerschaftswoche berichtet. Ultraschallbild zeigt unregelmässige Aufhellungen des zottenhaltigen Plazentargewebes mit Ausbildung von ‚Lakunen’. Die Lakunen entstehen wahrscheinlich durch anomale Implantation und anomaler Position der Spiralarterien in Relation zum intervillösen Raum.

Komplikationen:
Lebensbedrohliche maternale und fetale Blutungen. Tod der Mutter und / oder des Kindes in 9.5%.
Plazenta percreta:
Uterusruptur. Harnblasenbeteiligung und Hämaturie. Perforation mit massiver Blutung.

Therapie:
Plazenta percreta/ tiefe Plazenta increta: Frühzeitige Sectio caesarea.
Embolisation durch Arteria iliaca externa.
Gegebenenfalls wird die Plazenta accreta in situ belassen und auf die spontane Involution über Monate gewartet. Die Patientin muss jedoch sorgfältigst nachbeobachtet werden, um eine allfällige Nachblutung nicht zu verpassen.
Morphologie
-
Makroskopie
Befund
Pathologischer Befund
Normalbefund
Literatur
Datum
Ersteintrag: 17.11.2018
Update: 17.11.2018