Wichtiger Sicherheitshinweis: Pathorama wurde zwischen dem 26. und 27. Dezember 2025 angegriffen. Falls Sie die Website in diesem Zeitraum besucht haben, lesen Sie bitte die wichtigen Informationen hier:
Zur Information

Basel 3BA FS/ Hyperplasie des Endometriums

Diagnose
Hyperplasie des Endometriums
Diagnose Gruppe
Hyperplasie / Hypertrophie
Differenzialdiagnose
Topographie Gruppe
Mamma
Topographie
Endometrium
Einleitung
Aetiologie:
 Mögliche Ursachen der Hyperplasie des Endometriums sind langfristige Follikelpersistenzen, wiederholte anovulatorische Zyklen bei Adipositas, polyzystischem Ovarsyndrom oder in der Perimenopause oder eine exogene Östrogenzufuhr ohne Zusatz von Gestagenen. Allen Ursachen gemeinsam ist der kontinuierlich hohe Östrogenspiegel, der durch keine Progesteronsekretion ausgeglichen wird. Auf dem Boden dieser gutartigen Hyperplasie können sich Präneoplasien (Hyperplasie mit Atypie oder endometrioide intraepitheliale Neoplasie) eines endometrioiden Adenokarzinoms entwickeln. 

Morphologie:
 Einteilung der Endometriumhyperplasie nach WHO 2014: 
  • Hyperplasie ohne Atypie 
  • Hyperplasie mit Atypie (AH)/Endometrioide intraepitheliale Neoplasie (EIN) Die hyperplastische Mukosa ist verdickt (2-3cm statt normal 0.2-1.2cm), homogen-weisslich glasig und weich. Die Drüsen sind verstärkt verzweigt, zystisch transformiert und ausgekleidet von mehrreihigem Epithel. Bei der Hyperplasie beträgt das Drüsen-Stroma Flächenverhältnis >1:1. Die Vorstufe der Hyperplasie mit gleichartigen architektonischen Veränderungen aber einem Drüsen-Stromaverhältnis <1:1 bezeichnet man als unregelmässig proliferiertes Endometrium. 1-3% der Frauen mit einer Hyperplasie des Endometriums ohne Atypie entwickeln im Verlauf ein gut differenziertes endometrioides Adenokarzinom. Das Risiko für die Entwicklung eines endometrioiden Adenokarzinoms ist dagegen viel höher bei Vorliegen einer Hyperplasie mit Atypie (> 1074) (> 1075) oder einer endometrioiden intraepithelialen Neoplasie (=Präneoplasie) (> 10369). Bei einem Viertel bis einem Drittel der Patientinnen mit solchen Läsionen in der Kurettage wird in der nachfolgenden Hysterektomie oder innerhalb eines Jahres die Diagnose eines endometroiden Adenokarzinoms gestellt. Das Karzinomrisiko ist 14x erhöht bei der atypischen Hyperplasie bis 45x bei der EIN. In Einzelfällen kann die Abgrenzung einer atypischen Hyperplasie oder einer EIN von einem Karzinom am Kurettagematerial sehr schwierig sein. Beim invasiven Karzinom sind die Drüsenarchitekturstörungen ausgeprägter und zwischen den Karzinomdrüsen fehlt das Stroma stellenweise vollständig. 


Verlauf:
 Weniger als 3% der Hyperplasien ohne Atypien gehen über in ein endometrioides Adenokarzinom, jedoch bis zu ein Viertel der atypischen Hyperplasien. Entscheidend für die Prognose ist also das Vorhandensein von Atypien. 
update 21. August 2014 
Klinik
Vorkommen:
Die Altersgipfel liegen zur Zeit der ovariellen Übergangsphasen in der Pubertät und insbesondere im Klimakterium. Risikofaktoren sind Adipositas, polyzystisches Ovarsyndrom und Diabetes mellitus. Häufigste Symptome sind postmenopausale Blutungen oder abnorme, nicht-zyklische vaginale Blutungen in der Perimenopause.
 
Diagnostik und Therapie:
Die Diagnose erfolgt an der Kurettage.
Zur Behandlung der Hyperplasie ohne Atypie kann bei Verdacht auf eine Follikelpersistenz Medroxyprogesteronacetat (oder ein Äquivalent) vom 12. - 25. Zyklustag verordnet werden. Bei rezidivierender, dysfunktioneller Blutung sollte die Kürettage wiederholt und ein hormonbildender Ovarialtumor ausgeschlossen werden. Bei einer atypischen Hyperplasie muss das Gestagen höher dosiert werden. Nach drei Monaten wird eine Kontrollkürettage durchgeführt und bei Persistenz der Hyperplasie die Gestagentherapie wiederholt (prämenopausal mit Kinderwunsch) bzw. hysterektomiert (peri- und postmenopausal). 
Bei Diagnose einer Hyperplasie mit Atypie bzw. einer EIN in der Uteruskurettage ist bei prämenopausalen Frauen mit abgeschlossener Familienplanung und bei postmenopausalen Frauen aufgrund des hohen Progressionsrisikos dieser Präneoplasien zu einem Karzinom eine Hysterektomie zu empfehlen. Da die endgültige Untersuchung des Hysterektomiepräparates in ca. 20-40% ein invasives Karzinom zeigt, ist bei postmenopausalen Frauen eine gleichzeitige Adnexektomie anzustreben. Bei Frauen mit Kinderwunsch und bei Patientinnen mit einem erhöhten Operationsrisiko ist ein konservatives Vorgehen mit hochdosierter Gestagentherapie möglich.

update 2. September 2022
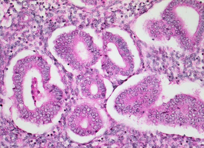
Morphologie
Morphologische Merkmale: 
  • Hoch aufgebaute Mukosa. 
  • Das Verhältnis von Stroma und Drüsen ist zu Gunsten der Drüsen verschoben (Drüsen:Stroma>1:1). 
  • Die architektonische Komplexität der Drüsen ist in den meisten Fragmenten gering. Viele Drüsen sind zystisch dilatiert oder verzweigt. Keine kribriformen Strukturen. 
  • Proliferierendes ein- oder mehrreihiges Epithel mit länglichen hellen Kernen und Mitosen. 
  • Einige Drüsen werden von metaplastischem tubarem Epithel oder Flimmerepithel ausgekleidet. Das sollte der Kliniker dem Pathologen mitteilen: 
  • Hyperöstrogenismus. 
  • Medikamentöse Therapie (z.B. Tamoxifen). 
  • Menopausenstatus. 
  • Sonographische oder hysteroskopische Befunde. 
Makroskopie
Befund
Pathologischer Befund
Normalbefund
Literatur
Datum
Ersteintrag: 10.07.2019
Update: 26.07.2022