Wichtiger Sicherheitshinweis: Pathorama wurde zwischen dem 26. und 27. Dezember 2025 angegriffen. Falls Sie die Website in diesem Zeitraum besucht haben, lesen Sie bitte die wichtigen Informationen hier:
Zur Information

n/ Eosinophiler Pleuraerguss

Diagnose
Eosinophiler Pleuraerguss
Diagnose Gruppe
Entzündung / Reparatur
Differenzialdiagnose
Topographie Gruppe
Körperhöhlen, Serosa
Topographie
Pleuraerguss Zytologie
Einleitung
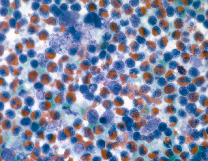
Rund 4-5% aller Pleuraergüsse sind eosinophile Ergüsse mit einem Eosinophilenanteil von mehr als 10% der Zellen. Meist sind auch Lymphozyten und Mastzellen vermehrt. Manchmal findet man zahlreiche Charcot-Leyden'sche Kristalle. Das ätiologische Spektrum ist breit. Eosinophile Ergüsse lassen sich beobachten bei Spontanpneumothorax, Blutung, subakuter Entzündung, Parasiten oder idiopathisch.
Unten gezeigt werden ein idiopathischer Pleuraerguss und ein Erguss nach Talkpleurodese.
Klinik
-
Normalbefund
Morphologie
Makroskopie
Virtuelles Präparat
Befund
Pathologischer Befund
Normalbefund
Literatur
Datum
Ersteintrag: 01.04.2003
Update: 01.04.2003