Wichtiger Sicherheitshinweis: Pathorama wurde zwischen dem 26. und 27. Dezember 2025 angegriffen. Falls Sie die Website in diesem Zeitraum besucht haben, lesen Sie bitte die wichtigen Informationen hier:
Zur Information

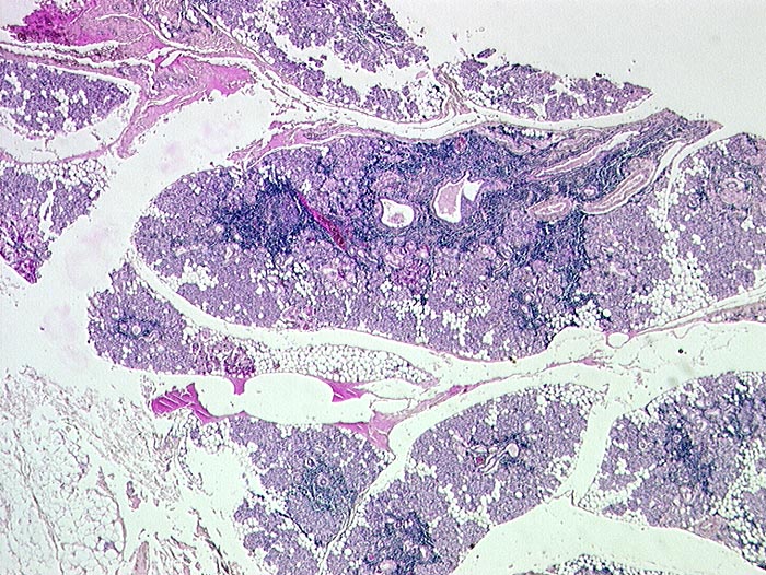
p/ Autoimmun- Sialadenitis bei Sjögren Syndrom

Diagnose
Autoimmun- Sialadenitis bei Sjögren Syndrom
Diagnose Gruppe
Systemerkrankung/Immunpathologie
Differenzialdiagnose
Topographie Gruppe
Oesophagus, Magen
Topographie
Parotis
Einleitung
Das Zellbild ist je nach Stadium mehr oder weniger zellreich und zusammengesetzt aus Lymphozyten, Myoepithelien und selten Azinuszellen. Ein lymphozytäres Zellbild ist in Kombination mit dem typischen klinischen Bild (Keratokonjunktivitis sicca, Xerostomie, rheumatische Erkrankung) für die Sicherung der Diagnose ausreichend. Auf die Lippenbiopsie kann in diesem Fall verzichtet werden.
Klinik
-
Normalbefund
Morphologie
Makroskopie
Virtuelles Präparat
Befund
Pathologischer Befund
Normalbefund
Literatur
Datum
Ersteintrag: 01.04.2003
Update: 01.04.2003