Wichtiger Sicherheitshinweis: Pathorama wurde zwischen dem 26. und 27. Dezember 2025 angegriffen. Falls Sie die Website in diesem Zeitraum besucht haben, lesen Sie bitte die wichtigen Informationen hier:
Zur Information

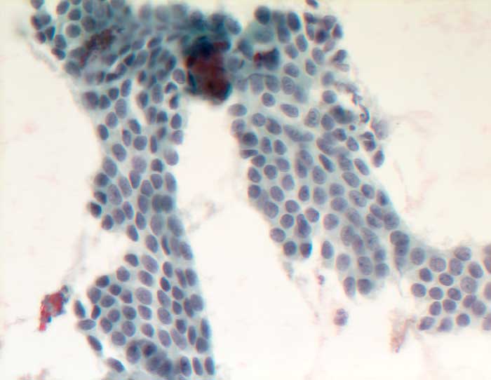
pit/ Adenokarzinom der Prostata / Samenblasenepithel

Diagnose
Adenokarzinom der Prostata / Samenblasenepithel
Diagnose Gruppe
maligner Tumor
Differenzialdiagnose
Topographie Gruppe
Mamma
Topographie
Prostata
Einleitung
Die zytologische Diagnose des Prostatakarzinoms bereitet in der Regel keine grossen Schwierigkeiten. Die Karzinomzellen sind etwas grösser als normale Prostataepithelien. Die Kerne sind wenig grob strukturiert und ziemlich monomorph. Die Kern-Zytoplasma Relation ist erhöht. Nukleolen, die bereits bei 100 facher Vergrösserung gut sichtbar sind, stellen ein wichtiges Malignitätskriterium dar. Im Übrigen hängt das zytologische Bild von der Differenzierung des untersuchten Tumors ab.
Samenblasenepithelien können aufgrund ausgeprägter Atypien und manchmal erkennbaren Nukleolen mit Karzinomzellen verwechselt werden. Im Unterschied zu den Prostataepithelien enthält ihr Zytoplasma meist Lipofuszingranula.
Klinik
-
Normalbefund
Morphologie
Makroskopie
Virtuelles Präparat
Befund
Pathologischer Befund
Normalbefund
Literatur
Datum
Ersteintrag: 13.04.2003
Update: 13.04.2003