Wichtiger Sicherheitshinweis: Pathorama wurde zwischen dem 26. und 27. Dezember 2025 angegriffen. Falls Sie die Website in diesem Zeitraum besucht haben, lesen Sie bitte die wichtigen Informationen hier:
Zur Information

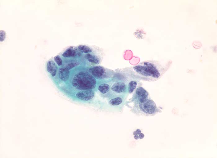
pit/ Reaktiv veränderte Urothelien bei Lithiasis

Diagnose
Reaktiv veränderte Urothelien bei Lithiasis
Diagnose Gruppe
Entzündung / Reparatur
Differenzialdiagnose
Topographie Gruppe
Niere, Harnwege
Topographie
Urin
Einleitung
Zellen aus dysplastischem Epithel sind manchmal schwer zu unterscheiden von Urothelien mit vergrösserten und pyknotischen Zellkernen, die bei Entzündungen der Urothelschleimhaut oder nach Mitomycintherapie vorkommen. Bei entzündlichem Hintergrund ist die Diagnose Dysplasie nur mit Zurückhaltung zu stellen. Die Untersuchung kann nach Abklingen der Entzündung wiederholt werden.
Die Fluoreszenz-in-situ-Hybridisierung mit der Mehrfachprobe UroVysion (Vysis, Inc.), mit der sich Aberrationen der 4 Chromosomen 3, 7, 17 und 9p21 simultan erfassen lassen, hilft bei der Unterscheidung von reaktiven und neoplastischen Veränderungen. Histologisch spricht die p53 Positivität des atypischen Urothels für eine echte Dysplasie.
Klinik
-
Normalbefund
Morphologie
Makroskopie
Virtuelles Präparat
Befund
Pathologischer Befund
Normalbefund
Literatur
Datum
Ersteintrag: 13.04.2003
Update: 13.04.2003