Wichtiger Sicherheitshinweis: Pathorama wurde zwischen dem 26. und 27. Dezember 2025 angegriffen. Falls Sie die Website in diesem Zeitraum besucht haben, lesen Sie bitte die wichtigen Informationen hier:
Zur Information

AP/ Chronisch aktive Helicobactergastritis mit intestinaler Metaplasie

Diagnose
Chronisch aktive Helicobactergastritis mit intestinaler Metaplasie
Diagnose Gruppe
Entzündung infektiös
Differenzialdiagnose
Topographie Gruppe
Oesophagus, Magen
Topographie
Magenantrum
Einleitung
Definition:
Unter einer Gastritis versteht man im weiteren Sinne jede Form der Magenentzündung ohne Rücksicht auf Topographie, Tiefenausdehnung, Ätiopathogenese und Histologie. Aufgrund der fehlenden oder uncharakteristischen makroskopischen (=endoskopischen) Befunde ist die ”Gastritis” eine rein histologische Diagnose.

Aetiologie:

Ätiopathogenetische Klassifikation der Gastritis:
  • Typ-A-Gastritis (> 1407) : autoimmun bedingt
  • Typ-B-Gastritis: bakteriell bedingt (Helicobacter pylori (> 997))
  • Kombination von Typ-A- und Typ-B-Gastritis
  • Typ-C-Gastropathie: chemisch-toxisch (NSAR, Alkohol) bzw. refluxbedingt (Galle) (> 1296)
  • Sonderformen: Gastritis durch seltene Erreger (Gastrospirillum hominis (> 3042) , Zytomegalievirus), granulomatöse Gastritis, fokal akzentuierte Gastritis assoziiert mit chronisch entzündlicher Darmerkrankung (> 1284), lymphozytäre Gastritis (oftmals als Folge einer Typ B Gastritis) (> 1344), eosinophile Gastritis und kollagene Gastrititis. Die Helicobacterinfektion kann von Mensch zu Mensch übertragen werden. Ob die Infektion fäkal-oral oder oral-oral erfolgt, ist nicht bekannt.

Morphologie:
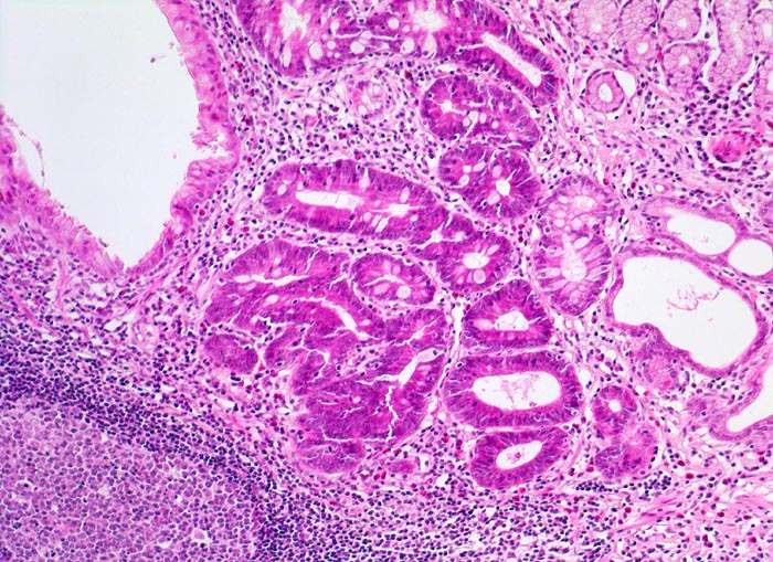
Das Unterrichtspräparat zeigt eine Helicobacter-Gastritis mit intestinaler Metaplasie. Histologisch ist die Typ B Gastritis charakterisiert durch eine chronische (Plasmazellen und Lymphozyten) und aktive (neutrophile Granulozyten) Entzündung. Das Ausmass der chronischen Entzündung und die Entzündungsaktivität werden gemäss Sydney Klassifikation in drei Schweregrade unterteilt (z.B. mässiggradige chronische, stark aktive Gastritis). Fakultativ können Lymphfollikel, eine intestinale Metaplasie mit/ohne Dysplasie und/oder Drüsenatrophie hinzukommen. Die Erreger (Helicobacter pylori) kolonisieren den protektiven Schleimfilm auf der Magenmukosa (> 3330) (> 9968) und sind dort mittels Spezialfärbung (Giemsa C) mikroskopisch nachweisbar. Unmittelbar im Bereich der intestinalen Metaplasie sind aufgrund des veränderten Milieus meist keine Bakterien nachweisbar. Unter Einnahme von Säurehemmern oder Antibiotika verringert sich die Sensitivität des Bakteriennachweises in der Biopsie aufgrund der schnellen Reduktion der Bakterienanzahl ebenfalls. Nach erfolgreicher Eradikation verschwindet in der Regel die aktive Entzündung innert Wochen. Chronische Entzündung und Lymphfollikel bleiben jedoch länger nachweisbar und geben einen Hinweis auf eine abgelaufene Helicobactergastritis.
Die intestinale Metaplasie also der Ersatz des ortsständigen Epithels durch ein differenziertes anderes Gewebe (Ersatz des Magenepithels durch Dünndarm- oder Dickdarm-ähnliches Epithel) ist in Magenbiopsien ein häufiger Befund. Sie ist Folge einer chronischen Magenschleimhautentzündung unabhängig von deren Ätiologie. Man findet sie besonders häufig in Mägen mit Ulcus ventriculi und in enger Assoziation mit dem Magenkarzinom. Im metaplastischen Gewebe kann sich eine Dysplasie entwickeln. In einer niederländischen Kohortenstudie wurde das 5-Jahres-Risiko für die Entwicklung eines Magenkarzinoms bei Vorliegen einer atrophen Gastritis mit 0.1%, bei intestinaler Metaplasie mit 0.25%, bei niedrig- bis mittelgradiger Dysplasie mit 0.6% und bei schwerer Dysplasie mit 6% angegeben.

update 19. August 2014
Klinik
Vorkommen:
Bei einer Mehrzahl der Patienten mit duodenalen (90–95%) und gastralen Ulzera (60–90%) lässt sich eine Helicobacterinfektion nachweisen aber nur etwa 10-15% aller Infizierten entwickeln ein Ulkus. Die Prävalenz dieser Infektion hängt stark vom sozioökonomischen Status ab und liegt in den Entwicklungsländern unverändert hoch bei über 80%. In der Schweiz ist die Prävalenz in den letzten 20 Jahren stark gesunken und liegt bei Erwachsenen aktuell bei etwa 12%. Migranten aus Südosteuropa und der Türkei sind deutlich häufiger infiziert.

Symptomatik:
Die Helicobactergastritis ist asymptomatisch. Symptome stammen von den Komplikationen der Infektion (peptisches Ulkus, Magenkarzinom, MALT Lymphom), welche allerdings nur einen kleinen Teil der mit dem Bakterium kolonisierten Personen betreffen.

Diagnostik:
Für die Diagnosestellung stehen verschiedene nicht invasive (Serologie, Atemtest, Stuhltest) und invasive Tests (Histologie (> 5269) , Kultur) zur Verfügung. Ein Goldstandard für den Bakteriennachweis existiert nicht. Der positive prädiktive Wert der Serologie nimmt aufgrund der sinkenden Helicobacter-Prävalenz ab, weshalb die Serologie nicht mehr als primäres Nachweisverfahren verwendet werden sollte. Der Atemtest und der Antigennachweis im Stuhl haben eine Sensitivität und Spezifität von 95% und können sowohl zur Diagnose als auch für den Eradikationsnachweis verwendet werden.

Therapie:
Klare Indikationen für eine Eradikationstherapie sind Magen- und Duodenalulzera, das MALT Lymphom des Magens und schwere, rezidivierende Helicobacter pylori positive Gastritiden. Es existiert eine Vielzahl von Therapieschemata mit einer Kombination von Protonenpumpenhemmer und zwei oder drei Antibiotika in Abhängigkeit von den lokalen Resistenzmustern. Die Eradikationstherapie wird über 7 bis 14 Tage durchgeführt. Sehr wichtig ist die Überwachung der Compliance. Bei guter Compliance verläuft die Eradikation in über 90% der Fälle erfolgreich.

update 30. August 2012
Morphologie
Morphologische Merkmale:
  • Vier Magenschleimhautbiopsien (Oberstes: Antrum/Corpusübergang mit intestinaler Metaplasie, zweitoberstes und unterstes: Antrumschleimhaut mit intestinaler Metaplasie, zweitunterstes: Corpusschleimhaut mit intramukosalem Lymphfollikel ohne Metaplasie).
  • Schwere chronische (dichtes lymphoplasmazelluläres Entzündungsinfiltrat in der Lamina propria), stark aktive (neutrophile Granulozyten in der Lamina propria und im Epithel mit Ausbildung von Mikroabszessen) Gastritis.
  • Typisch für Helicobactergastritis: intramukosale Lymphfollikel
  • An der Schleimhautoberfläche sind einzelne blauviolette kommaförmige Helicobacter Bakterien erkennbar. Die Bakterien sind viel besser in der Spezialfärbung Giemsa C erkennbar (zweiter Präparatlink, ebenfalls Prüfungsstoff!!)
  • Intestinale Metaplasie der Antrumschleimhaut: Basophile (bläuliche) Drüsenschläuche mit Becherzellen sowie einzelnen Paneth'schen Körnerzellen mit rot granuliertem Zytoplasma im untersten Schleimhautfragment. Die metaplastische Schleimhaut erinnert stark an Kolonschleimhaut.
Das sollte der Kliniker dem Pathologen mitteilen:
  • Vermuteter Gastritistyp (A, B oder C).
  • Einnahme ulzerogener Medikamente (NSAR, ASS)
  • Einnahme von Antibiotika oder Säurehemmern (Sensitivität für mikroskopischen Helicobacternachweis deutlich vermindert)
Praxis-Tipp:
  • Biopsien aus verschiedenen Lokalisationen separat einsenden und entsprechend bezeichnen (obligat bei Tumorverdacht oder Verdacht auf Typ A Gastritis).

update 28.12.2016
Makroskopie
Befund
Pathologischer Befund
Normalbefund
Datum
Ersteintrag: 01.04.2019
Update: 01.04.2019