AP/ Chronische polypöse Rhinitis

Diagnose
Chronische polypöse Rhinitis
Diagnose Gruppe
Entzündung / Reparatur
Differenzialdiagnose
  • - Mukoviszidose- Angiofibrose- Rhinosporidiose- Plattenepithelkarzinom
Topographie Gruppe
Kopf & Hals, Sinnesorgane
Topographie
Nasenschleimhaut
Einleitung
Aetiologie:
Nasenpolypen treten häufiger in Verbindung mit nicht allergischen als mit allergischen Krankheiten auf. Multiple Polypen sind assoziiert mit Asthma bronchiale, Mukoviszidose, Heuschnupfen, allergischer mykotischer Sinusitis, chronischer Rhinosinusitis, primärer ziliärer Dyskinesie, Aspirinintoleranz, Alkoholintoleranz, Churg Strauss Syndrom, Young Syndrom und nicht allergischer Rhinitis mit Eosinophilie (NARES). Bei einem einzelnen Polypen kann es sich um einen Choanalpolypen handeln oder um einen Tumor (Gliom, Encephalozele, Hämangiom, Papillom, juveniles nasopharyngeales Angiofibrom, Rhabdomyosarkom, Lymphom, Neuroblastom, Sarkom, Chordom, nasopharyngeales Karzinom oder invertiertes Papillom). Nasenpolypen sollten aus diesem Grund histologisch untersucht werden. Kinder mit multiplen Polypen sollten auf das Vorliegen eines Asthma bzw. einer Mukoviszidose abgeklärt werden.

Morphologie:
Makroskopisch sind die Polypen glasig glänzend. Gutartige Polypen liegen meist im mittleren Meatus. Histologisch sind die Polypen von einem respiratorischen Epithel (> 4380) ausgekleidet. Die Basalmembran ist verdickt und das Stroma ödematös. Eosinophile Granulozyten sind bei 80-90% der Polypen nachweisbar. Vermehrte Plasmazellen, Lymphozyten und Myofibroblasten kommen oft vor. Infiltrate von neutrophilen Granulozyten treten auf bei Mukoviszidose, ziliärer Dyskinesie und dem Young Syndrom. Diese Polypen sprechen kaum auf Steroidtherapie an.
Klinik
Vorkommen:
Je nach Untersuchung leiden ca. 1 bis 4% der Bevölkerung an Nasenpolypen. Nasenpolypen können in jedem Lebensalter vorkommen.

Symptomatik:
Die Polypen behindern die Nasenatmung, so dass verstärkt durch den Mund geatmet werden muss. Oft finden sich ein eitriger Schnupfen und ein verstärktes Laufen der Nase. Das Riechvermögen ist eingeschränkt. Die Patienten können eine näselnde Stimme haben. Schnarchen, wiederkehrende Entzündungen der Nasennebenhöhlen und der oberen Luftwege sowie Mittelohrentzündungen und Kopfschmerzen können Folge von Nasenpolypen sein.

Diagnostik:
Grössere Polypen sind bereits bei der vorderen Rhinoskopie sichtbar. Kleinere Polypen können endoskopisch detektiert werden. Zur Beurteilung der Ausdehnung der Polypen wird meist ein Dünnschicht CT angefertigt. Dieses ist auf jeden Fall vor einer geplanten Operation notwendig. Bei gleichzeitiger Nasennebenhöhlenentzündung erfolgt ein Abstrich zur Erregerbestimmung.

Therapie:
Steroide topisch oder systemisch sind Therapie der Wahl. Ein operativer Eingriff ist angezeigt bei Kindern mit multiplen Polypen oder chronischer Rhinosinusitis, die auf medikamentöse Therapie nicht ansprechen. Die operative Entfernung multipler benigner Nasenpolypen ist mit einer hohen Rezidivrate behaftet.
Normalbefund
Morphologie
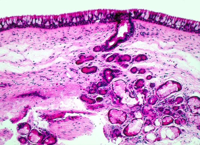
Morphologische Merkmale:
  • Polypoides Gewebsfragment bedeckt von mehrreihigem Flimmerepithel.
  • Herdförmige Schleimhauterosionen.
  • Ödematöses Stroma mit gemischtem Entzündungsinfiltrat: Lymphozyten, Plasmazellen, Histiozyten und zahlreiche eosinophile Granulozyten.
  • Im Zentrum des Polypen Drüsenläppchen und zahlreiche Blutgefässe.
Das sollte der Kliniker dem Pathologen mitteilen:
  • Solitär oder multiple Läsionen.
Makroskopie
Befund
Pathologischer Befund
Normalbefund
Literatur
Datum
Ersteintrag: 15.10.2018
Update: 15.10.2018