Wichtiger Sicherheitshinweis: Pathorama wurde zwischen dem 26. und 27. Dezember 2025 angegriffen. Falls Sie die Website in diesem Zeitraum besucht haben, lesen Sie bitte die wichtigen Informationen hier:
Zur Information

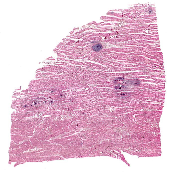
AP/ Pyämische Myokarditis

Diagnose
Pyämische Myokarditis
Diagnose Gruppe
Entzündung infektiös
Differenzialdiagnose
Topographie Gruppe
Kardiovaskuläres System
Topographie
Herz
Einleitung
Aetiologie:
Infolge einer akuten Infektion mit Bakterien oder Pilzen kann es ausgehend von einem Streuherd (Endokarditis, infizierter Venenkatheter, Bronchopneumonie, Divertikulitis, Meningitis, Pyelonephritis, peritonsillärer Abszess, eitrige Sinusitis, Osteomyelitis…) durch passive Verschleppung oder aktiven Einbruch von Erregern in Gefäße zur hämatogenen Ausbreitung der Mikroorganismen im gesamten Organismus kommen. Diese metastatische Absiedlung von Erregern mit Bildung von sekundären Entzündungsherden bezeichnet man als septikopyämische Streuung.

Lokalisation:
Streuherde können in verschiedenen Organen nachgewiesen werden: Myokard, Niere (> 2941) (> 1775) (> 1748), Gehirn (> 2119) (> 2120) (> 2063) Lunge (> 743), Leber, Milz, Knochen/Gelenke…

Morphologie:
Die septikopyämischen Streuherde imponieren makroskopisch als eitrig abszedierende Entzündung, Gewebsnekrosen (> 2942) (> 2120) (> 2063), multiple kleine zentral abszedierte Rundherde mit einem roten Randsaum (> 2871)oder punktförmige Hämorrhagien (> 2943). Histopathologisch lassen sich Erreger in und um kleine Gefässe (> 191) nachweisen mit oder ohne Ausbildung von Mikroabszessen.

Anmerkung:
Das morphologische Bild eitriger Streuherde eines Infektionserregers im Myokard wird als pyämische Myokarditis bezeichnet. Der Begriff Sepsis ist hingegen klinisch definiert. Von einer Sepsis spricht man, wenn als Folge einer Infektion eine systemische Entzündungsreaktion vorliegt. Letztere liegt vor, wenn mindestens zwei der folgenden Kriterien erfüllt sind: Fieber oder Hypothermie (>38°C, <36°C), Tachykardie >90/Min, Tachypnoe >20/Min oder PaCo2<4.3kPa, Leukozytose oder Leukopenie oder >10% Stabkernige. Bei einer schweren Sepsis kommt es zusätzlich zum Organversagen, beim septischen Schock tritt trotz adäquater Flüssigkeitszufuhr eine arterielle Hypotension <90mmHg hinzu.
Klinik
Vorkommen:
Die Sepsis und der septische Schock sind lebensbedrohliche Infektionen, welche die wichtigste Todesursache bei Patienten der Intensivstation darstellen. 10% aller Todesfälle sind auf eine Sepsis zurückzuführen.

Risikofaktoren:
Die septische Reaktion tritt dann ein, wenn das Immunsystem den eindringenden Erreger nicht unterdrücken kann. Die meisten Fälle werden durch Erreger verursacht, welche im immunkompetenten Wirt keine systemische Erkrankung auszulösen vermögen. Gefährdet sind also vor allem immundefiziente Patienten.

Aetiologie:
Bakterien oder Pilze können bei 20-40% der Patienten mit Sepsis und bei 40-70% der Patienten mit septischem Schock mikrobiologisch nachgewiesen werden. In 70% der Isolate handelt es sich um gram positive (Staphylokokkus aureus (> 742), koagulase-negative Staphylokokken, Enterokokken, Streptokokken) oder gram negative Bakterien (Enterobacteriaceae, Pseudomonaden, Haemophilus), in 7% um Pilze (Candida (> 1796), Aspergillus, Cryptococcus neoformans) und in 5% um klassische Erreger (Pneumokokken, Meningokokken, Haemophilus influenzae, Streptokokkus pyogenes). In den restlichen Fällen finden sich mehrere Erreger.

Symptomatik:
Die Symptomatik richtet sich nach der Infektionsquelle und der Abwehrlage des Patienten. Die Invasion der Erreger in den Blutkreislauf ist nicht Voraussetzung für die Entwicklung des klinischen Bildes einer Sepsis, da letztere auch durch Toxine (z.B. Endotoxine bei gram negativen Keimen) oder Entzündungsmediatoren ausgelöst werden kann.

Diagnostik:
Die Diagnose erfordert den Erregernachweis im Blut oder aus einem lokalen Infektionsherd. In einem Teil der Fälle kann die Streuquelle nicht identifiziert werden. Oft müsen multiple Blutkulturen entnommen werden.

Therapie:
Essentiell für die Behandlung ist die Identifizierung und Sanierung der Streuquelle und der frühe Beginn einer zunächst empirischen und in der Folge erregerspezifischen antibiotischen Therapie. Intravenöse Katheter sollten entfernt werden. Als unterstützende Therapiemassnahmen bei schwerer Sepsis haben eine frühe hämodynamische Unterstützung, eine intensive Insulinbehandlung und ein niedriges Atemvolumen eine signifikante Verminderung der Mortalität gebracht.

Prognose:
Trotz Verbesserung lebenserhaltender Massnahmen sterben immer noch 20-35% der Patienten mit Sepsis und 40-60% der Patienten mit septischem Schock innerhalb von 30 Tagen.
Morphologie
Morphologische Merkmale:
  • Blaue Flecken in der Übersicht. Diese entsprechen Ansammlungen von neutrophilen Granulozyten (Mikroabszesse).
  • Links unten im Bild sind mehrere Arterien mit intra- und perivaskulären Kokkenbakterien und neutrophilen Granulozyten erkennbar.
Das sollte der Kliniker dem Pathologen mitteilen:
  • Sepsis.
  • Im Blut nachgewiesene Erreger.
  • Mögliche Streuquellen.
Makroskopie
Befund
Pathologischer Befund
Normalbefund
Datum
Ersteintrag: 17.11.2018
Update: 17.11.2018