Wichtiger Sicherheitshinweis: Pathorama wurde zwischen dem 26. und 27. Dezember 2025 angegriffen. Falls Sie die Website in diesem Zeitraum besucht haben, lesen Sie bitte die wichtigen Informationen hier:
Zur Information

AP/ Carcinoma in situ und Plattenepithelkarzinom der Zervix

Diagnose
Carcinoma in situ und Plattenepithelkarzinom der Zervix
Diagnose Gruppe
maligner Tumor
Differenzialdiagnose
Topographie Gruppe
Mamma
Topographie
Zervix
Einleitung
Aetiologie:
Die präkanzerösen und karzinomatösen Veränderungen von Zervix, Vagina, Vulva und Anus werden durch ähnliche Risikofaktoren hervorgerufen. Als wesentlicher Risikofaktor für alle Lokalisationen gilt eine persistierende Infektion mit high-risk-HPV (humanes Papillomvirus), auch wenn diese allein für die Entstehung dysplastischer und karzinomatöser Veränderungen nicht ausreicht. In Karzinomen liegt die Nachweisrate von HPV mit PCR bei fast 100%. Persistierende Infektionen mit den Papillomvirustypen 16, 18 und etwas weniger 31, 33 und 35 sind mit einem erhöhten Progressionsrisiko der leichten zur schweren Dysplasie und zum Karzinom verbunden. 

Lokalisation:
 Dysplasien und davon abgeleitete Karzinome treten gleich wie die kondylomatösen Läsionen vorwiegend in der Transformationszone im Bereich des metaplastischen Plattenepithels der Zervix auf. Seltener findet sich auch eine Präkanzerose des endozervikalen glandulären Epithels (Dysplasie oder Adenocarcinoma in situ). Mehr als 90% der invasiven Karzinome entstehen in der Transformationszone, die übrigen im Plattenepithel der Ektozervix. Die Inzidenz zervikaler intraepithelialer Neoplasien (CIN) ist etwa 10-fach höher als die Inzidenz von vaginalen (VaIN) und vulvären (VIN) Präneoplasien. 

Nomenklatur der Zervixpräneoplasien:
Die Dysplasie des Plattenepithels wird eingeteilt in eine geringgradige zervikale intraepitheliale Neoplasie (CIN I) entsprechend einer leichtgradigen squamösen intraepithelialen Läsion (LSIL) (> 3371) (> 3346) und eine mässiggradige oder schwergradige squamöse intraepitheliale Neoplasie bzw. ein Carcinoma in situ (CIN II-III) entsprechend einer hochgradigen squamösen intraepithelialen Läsion (HSIL) (> 6586). Dieselbe Einteilung in LSIL und HSIL gilt auch für vulväre, vaginale und anale squamöse Präneoplasien. LSIL entsprechen dem morphologischen Korrelat einer transienten HPV-Infektion, während HSIL als morphologisches Korrelat einer persistierenden HPV-Infektion angesehen werden. Die Unterscheidung von LSIL und HSIL erfolgt mittels p16 Immunhistochemie (HSIL p16 blockförmig positiv, LSIL p16 negativ oder nicht blockförmig positiv). Eine persistierende HSIL ist assoziiert mit einem erhöhten Risiko für die Integration des Virusgenoms in die Chromosomen der Wirtszellen. Dies kann zu einer Akkumulation sekundärer genetischer Veränderungen der infizierten Plattenepithelzelle und schliesslich zur Progression zum invasiven Karzinom führen. 

Morphologie:
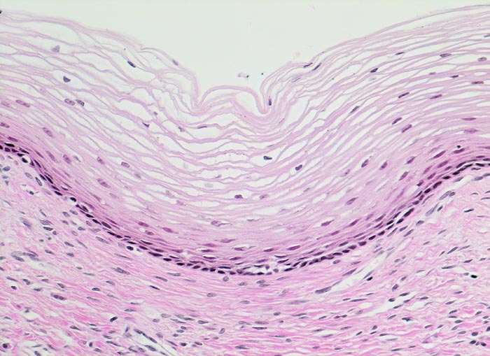
Die HPV Infektion kann gelegentlich aufgrund zytopathischer Effekte in den infizierten oberflächlichen Plattenepithelzellen erkannt werden. Die zytopathisch veränderten Zellen nennt man Koilozyten. Koilozyten weisen einen hellen perinukleären Hof und einen verdickten peripheren Zytoplasmasaum auf (> 5546) (> 5547). Sie enthalten einen oder mehrere hyperchromatische dunkle Zellkerne. Ein flaches Areal mit zytopathisch veränderten Plattenepithelzellen wird als flache kondylomatöse Läsion bezeichnet (> 1093). Die LSIL ist gekennzeichnet durch Zellatypien und Mitosefiguren im unteren Epitheldrittel, während die oberen Zweidrittel des Epithels ausreifen (Verkleinerung der Zellkerne und vermehrtes Zytoplasma in den oberflächlichen Zellen). Bei der HSIL breiten sich die Zellatypien und Mitosefiguren auf das mittlere (CIN II) und obere Drittel (CIN III, Cis) des Epithels aus. Die oberflächlichen Zellen des Carcinoma in situ reifen nicht mehr aus und zeigen entsprechend eine hohe Kern-Plasmarelation.
Karzinome unterscheiden sich von einem Carcinoma in situ durch zungenförmige Tumorausläufer, welche die Basalmembran durchbrochen haben oder die Anwesenheit von kleinen Zellnestern ohne Basalmembran in desmoplastischem Stroma. Das invasive Karzinom verursacht meist eine Stromareaktion in Form eines Ödems, einer desmoplastischen Fibrose, chronischer Entzündung oder einer granulomatösen Entzündung. Makroskopisch können die invasiven Tumoren exophytisch polypoid, papillär, oder endophytisch wachsen. Bei den invasiven Karzinomen unterscheidet man verhornende und nicht verhornende Karzinome, wobei der Verhornungsgrad keine prognostische Relevanz besitzt. 

update 5.8.2022 
Klinik
Klinik Vorkommen:
Im Gegensatz zur Zunahme der Inzidenz von dysplastischen Veränderungen hat die Inzidenz und die assoziierte Mortalität der Zervixkarzinome in den letzten 30 Jahren dank zytologischer Screeninguntersuchungen drastisch abgenommen. Die Anzahl der Neuerkrankungen beläuft sich auf 11 pro 100'000 Frauen pro Jahr in der Schweiz. Die Präkanzerosen der Cervix uteri sind etwa 30mal häufiger als invasive Karzinome. Im zytologischen Screening beträgt die Dysplasiefrequenz 0.5-3% aller Abstriche. HPV Infektion und leichte Dysplasien entwickeln sich mit Aufnahme der sexuellen Aktivität im Adoleszentenalter. Schwere Dysplasien sind am häufigsten bei Frauen im Alter von 25 bis 29 Jahren. Karzinome mit einer maximalen Invasionstiefe von 5mm und einer Oberflächenausdehnung von maximal 7mm treten etwa im Alter von 45 Jahren auf, durchschnittlich 10 Jahre früher als fortgeschrittenere Zervixkarzinome mit einer Invasionstiefe von >5mm. 
 
Diagnostik:
Bei wiederholten zytologischen Abstrichen mit LSIL oder unklarer Zytologie kann die HPV Subtypisierung mittels PCR das weitere Procedere beeinflussen. Bei positivem Nachweis wird eine Kolposkopie und allenfalls eine Biopsie durchgeführt. Bei negativem Befund kann die Zytologie nach 3-6 Monaten wiederholt werden. 62% der leichten Dysplasien bilden sich innert 3-4 Jahren spontan zurück, 22% persistieren und 16% sind progredient. Von den mässigen Dysplasien heilen 50% innert 4-6 Jahren ab, 15% persistieren und 30% sind progredient. 
 
Symptomatik:
Kleine Tumoren sind oft asymptomatisch. Selten werden intermittierende, oft postkoitale vaginale Blutungen beobachtet. Fortgeschrittene Karzinome verursachen blutigen Ausfluss, Schmerzen oder Symptome im Zusammenhang mit der Infiltration von Harnblase, Rektum oder Lymphknoten. Die Karzinomdiagnose wird meist bioptisch gesichert. 
 
Therapie:
Abwartendes Verhalten ist wegen der hohen spontanen Rückbildungstendenz in der Mehrzahl der LSIL gerechtfertigt. Zervixkarzinome der Stadien I und II werden operativ therapiert (abdominale Hysterektomie nach Wertheim und paraaortale Lymphadenektomie). In fortgeschrittenen Stadien wird eine alleinige oder zusätzliche Strahlentherapie durchgeführt. 
 
Prognose:
Im Stadium I beträgt die 5-Jahresüberlebensrate 90-95% (Tumor begrenzt auf die Zervix). Diese sinkt auf 20% im Stadium IV (Infiltration von Harnblase, Rektum oder distalen Organen). 
 
Prophylaxe:
Die Hochrisiko-HPV-Typen 16 und 18 werden weltweit für etwa 70 % aller Fälle von Zervixkarzinomen verantwortlich gemacht. Seit 2006 ist ein Impfstoff gegen sexuell übertragbare HPV Viren in der Schweiz zugelassen. HPV-Impfstoffe schützen durch den Aufbau einer Immunität gegen bestimmte HPV Typen und dienen damit der Krebsprävention und der Prävention anogenitaler Warzen (Condyloma acuminata). Die Impfstoffe können auch vor oralen Infektionen schützen. Dies ist aufgrund der steigenden Inzidenz von HPV induzierten oropharyngealen Plattenepithelkarzinomen besonders relevant. 
 
 update 5.9.2022

Normalbefund
Morphologie
Morphologische Merkmale: 
  • Portio mit vorderer Muttermundslippe, Anteile der hinteren Muttermundslippe und Zervikalkanal. 
  • Carcinoma in situ der ektozervikalen Schleimhaut und des metaplastischen Plattenepithels im Bereich der Transitionalzone. 
  • Einwachsen des Carcinoma in situ in vorbestehende endozervikale Drüsenschläuche. 
  • Invasive solide Tumorzellstränge in desmoplastischem Stroma mit dichtem lymphoplasmazellulärem Entzündungsinfiltrat. 
  • Zellen des Plattenepithelkarzinoms mit vergrösserten, pleomorphen und hyperchromatischen Zellkernen, reichlich eosinophilem Zytoplasma und deutlichen Zellgrenzen. 
  • Zylinderepithel der endozervikalen Drüsen ohne Dysplasie. Das sollte der Kliniker dem Pathologen mitteilen: 
  • Vorbefunde (Dysplasie der Zervixschleimhaut). 
  • Vorausgegangene Eingriffe (z.B. Konisation oder Kurettage). Praxis-Tip: 
  • Konisat an der vorderen Muttermundslippe bei 12 Uhr mit Faden markieren. 
  • Konisate möglichst intakt lassen und nicht inzidieren. 
  • Fragmentierte Konisate in separaten Gefässen mit genauer Bezeichnung einsenden. 
Makroskopie
Befund
Pathologischer Befund
Normalbefund
Datum
Ersteintrag: 10.07.2019
Update: 26.07.2022