Wichtiger Sicherheitshinweis: Pathorama wurde zwischen dem 26. und 27. Dezember 2025 angegriffen. Falls Sie die Website in diesem Zeitraum besucht haben, lesen Sie bitte die wichtigen Informationen hier:
Zur Information

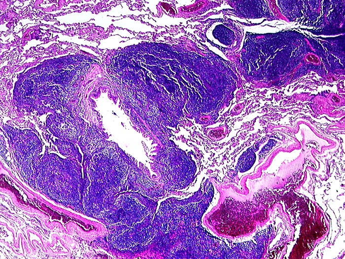
PathoPic – image database / PathoPic ID 1003 - Marginalzonenlymphom: extranodal vom MALT Typ

de
Diagnose
Marginalzonenlymphom: extranodal vom MALT Typ
Diagnose Gruppe
maligner Tumor
Topographie
Lunge
Topographie Gruppe
Lunge, Mediastinum mit Thymus
Beschreibung
Dichtes Lymphominfiltrat entlang der Lymphspalten um einen Bronchiolus.
Zusatzbefund
Hier: Kleinerer Herd hilusnah entlang Lymphgefässspalten (makroskopisch wie Lymphangiosis carcinomatosa imponierend). Grösserer Herd subpleural 2.4cm Durchmesser. Hiluslymphknoten nicht befallen. Stadium IE.
Klinik
Verdacht auf peripheres Lungenkarzinom. Peripherer Rundherd als einzige Tumormanifestation im CT.
Kommentar
Altersgipfel pulmonaler MALT Lymphome 6.-7. Dekade. Meist solitärer Rundherd, weniger häufig multinodulärer Befall und Pleuraerguss. Bei der Mehrzahl Stadium IE initial. Sehr indolenter Verlauf mit günstigster Prognose aller extranodalen Marginalzonen Lymphome.
Bilder Typ
Histologie
Alter
73
Geschlecht
unbekannt
Datum
Ersteintrag: 28.11.2001