PathoPic – image database / PathoPic ID 10033 - Nuck'sche Zyste

de
Diagnose
Nuck'sche Zyste
Diagnose Gruppe
angeboren /genetisch/Missbildung
Topographie
Peritoneum
Topographie Gruppe
Körperhöhlen, Serosa
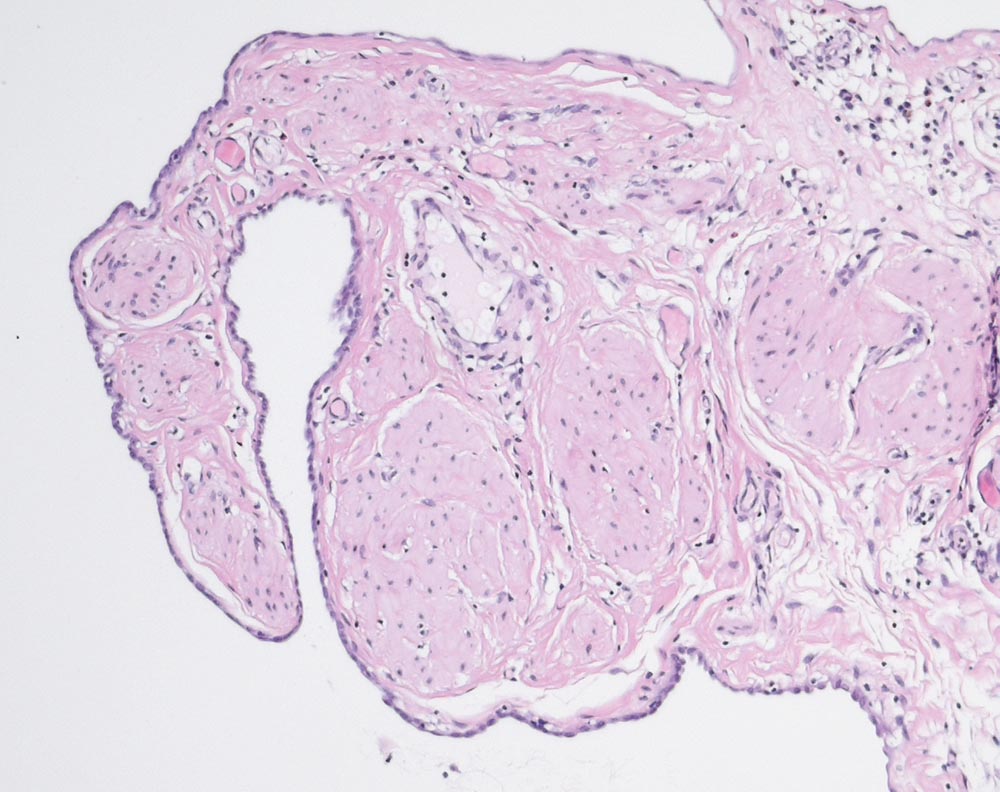
Beschreibung
Mesothelausgekleidete Zyste des Processus vaginalis peritonei und Anteile des Ligamentum rotundum.
Klinik
Nuck'sche Zyste rechts bei offenem Processus vaginalis. Schmerzen rechte Leiste
Bilder Typ
Histologie
Vergrösserung
100
Alter
49
Geschlecht
unbekannt
Datum
Ersteintrag: 18.11.2008
Update: 06.05.2009