PathoPic – image database / PathoPic ID 10152 - Wenig differenziertes Neuroblastom

de
Diagnose
Wenig differenziertes Neuroblastom
Diagnose Gruppe
maligner Tumor
Topographie
Epiduralraum
Topographie Gruppe
Nervensystem
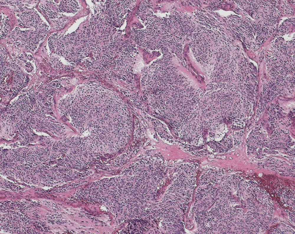
Beschreibung
Monotoner Zellrasen kleiner zytoplasmaarmer Zellen mit runden Kernen. Die Zellrasen werden von fibrovaskulären Septen durchzogen. Wenig fibrilläres Stroma.
Zusatzbefund
Neuroblastom, schwannzellstromaarm, wenig differenzierter Subtyp, nach der INPC-Klassifikation: Niedriger Mitose-Karyorrhexisindex. Neuroblastom Grad III nach Hughes.
Klinik
Epiduraler Tumor BWK 7/8. DD: Metastase, Plasmozytom.
Bilder Typ
Histologie
Vergrösserung
50
Alter
67
Geschlecht
unbekannt
Datum
Ersteintrag: 10.02.2009
Update: 06.05.2009