PathoPic – image database / PathoPic ID 10226 - Malignes Melanom: Merkelzellkarzinom ähnliche Hautmetastase

de
Diagnose
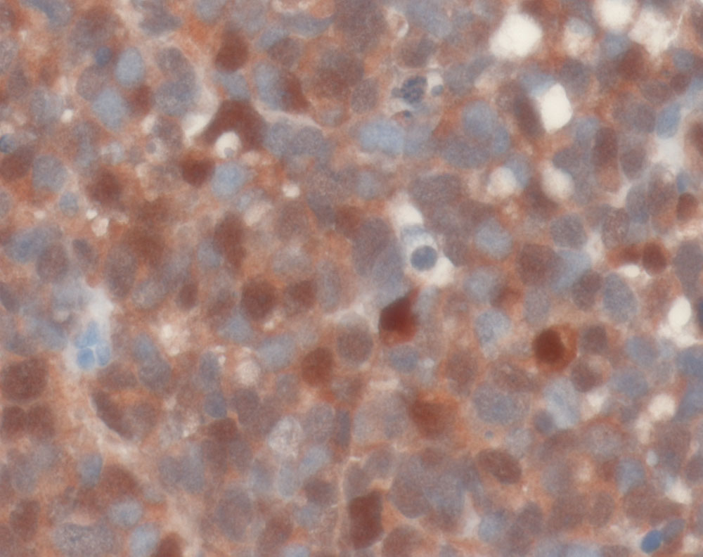
Malignes Melanom: Merkelzellkarzinom ähnliche Hautmetastase
Diagnose Gruppe
maligner Tumor
Topographie
Haut, untere Extremität
Topographie Gruppe
Haut
Beschreibung
Die Melanomzellen sind zytoplasmatisch und nukleär positiv für den melanozytären Marker S-100.
Zusatzbefund
Im ersten Exzisat fanden sich zusätzlich epitheloide Melanomanteile. Diese fehlten beim aktuellen Exzisat. Das Rezidiv bestand ausschliesslich aus Merkelzell ähnlichen Melanominfiltraten.
Klinik
Exzision einer subkutanen Melanommetastase am Unterschenkel vor einem Jahr. Unbekannter Primärtumor.
Bilder Typ
Histologie
Immunhistochemie
S-100
Vergrösserung
400
Alter
80
Geschlecht
unbekannt
Datum
Ersteintrag: 17.04.2009
Update: 06.05.2009