PathoPic – image database / PathoPic ID 10349 - exophytisches Schneider'sches Papillom

de
Diagnose
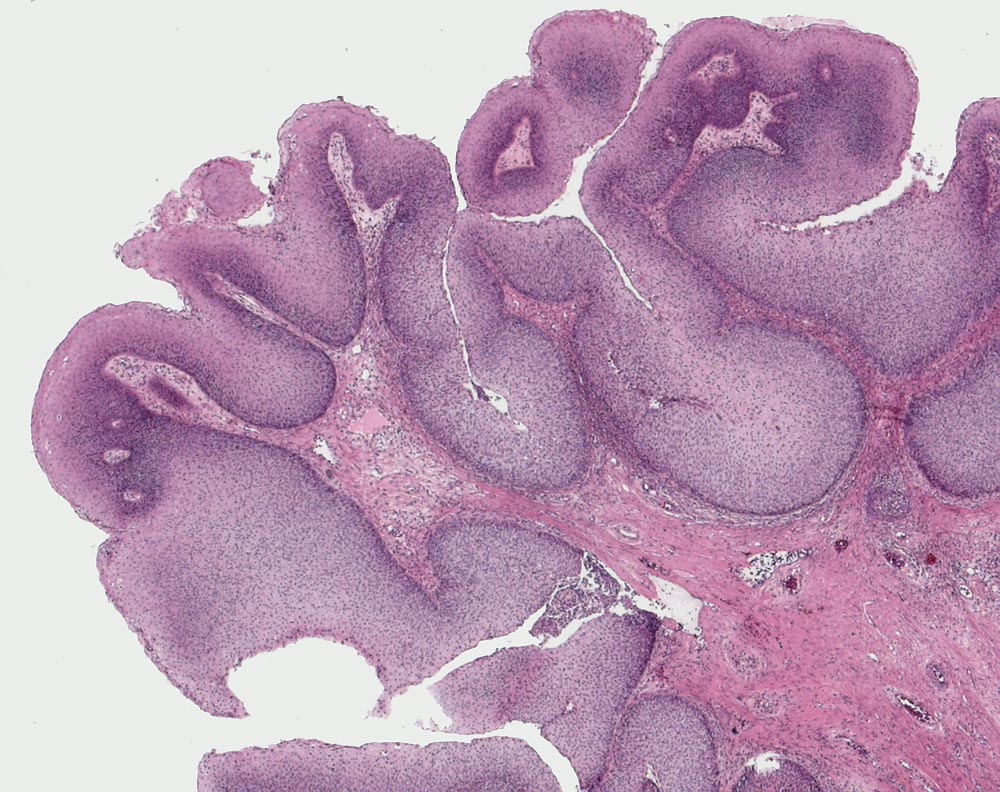
exophytisches Schneider'sches Papillom
Diagnose Gruppe
Entzündung / Reparatur
Topographie
Nasenschleimhaut
Topographie Gruppe
Kopf & Hals, Sinnesorgane
Beschreibung
Verzweigende exophytische Proliferate mit fibrovaskulären Stromastielen bedeckt von stark verdicktem gut differenziertem nicht verhornendem Plattenepithel.
Klinik
Papillom endonasal.
Kommentar
Exophytische Schneider'sche Papillome können assoziiert sein mit einer HPV-Infektion der low risk HPV-Typen 6 und 11. Hier liegen eindeutige koilozytäre Veränderungen vor, welche auf eine HPV-Infektion hinweisen.
Bilder Typ
Histologie
Vergrösserung
25
Alter
31
Geschlecht
männlich
Datum
Ersteintrag: 23.12.2009
Update: 24.10.2011