PathoPic – image database / PathoPic ID 10582 - Follikuläres Schilddrüsenkarzinom klarzellige Variante

de
Diagnose
Follikuläres Schilddrüsenkarzinom klarzellige Variante
Diagnose Gruppe
Präneoplasie/ Atypie/ Dignität?
Topographie
Haut, Rumpf
Topographie Gruppe
Haut
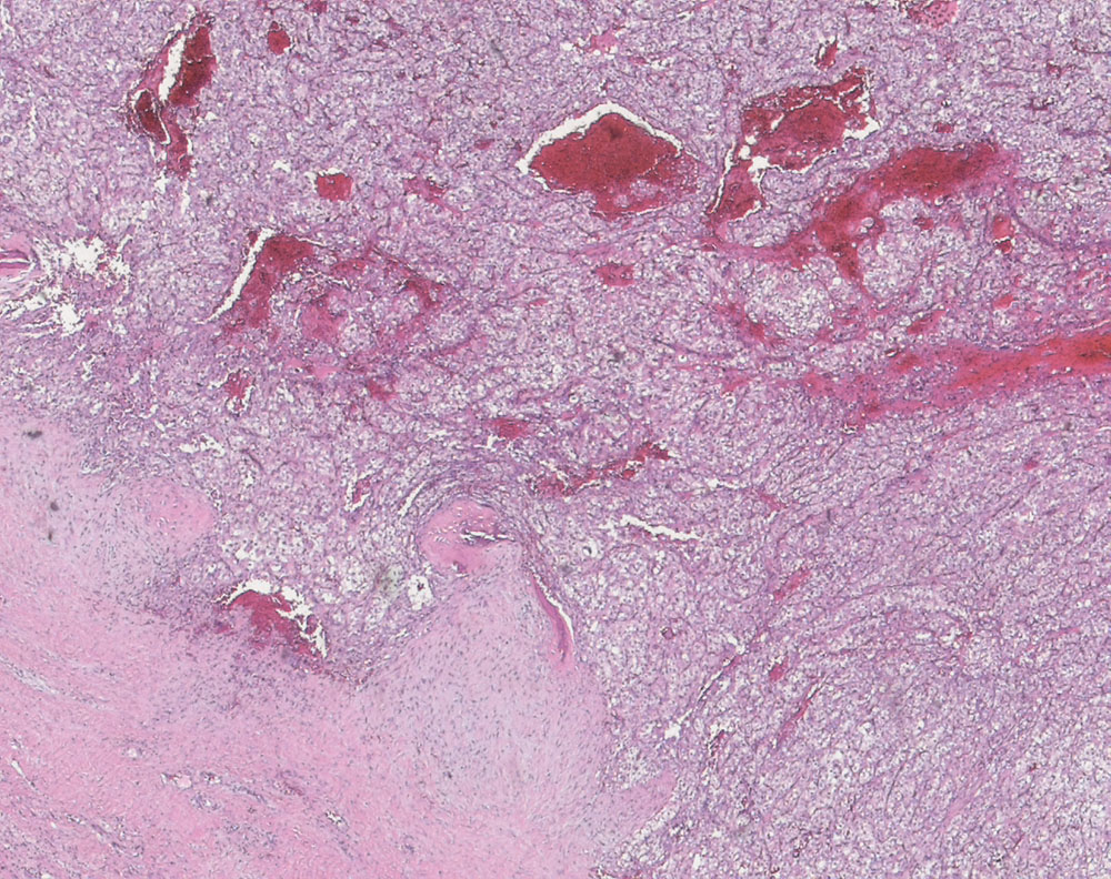
Beschreibung
Solid-trabekulär wachsendes hellzelliges Adenokarzinom. Die Morphologie der Metastase erinnert stark an ein hellzelliges Nierenzellkarzinom.
Zusatzbefund
Immunhistochemie: Thyreoglobulin diffus und kräftig positiv, Vimentin positiv, CD10 fokal positiv, Renal Cell Carcinoma negativ
Klinik
Metastasierendes follikuläres Schilddrüsenkarzinom. Thoraxwandmetastase.
Kommentar
Carcinomas composed of a variable proportion of clear cells, oxyphil cells, and cells with combined oxyphil and clear cell features are included in the category of oxyphil cell variant of follicular carcinoma. The biologic behavior of these tumors is consistent with that of follicular carcinomas. The clear cell change could be the result of chronic TSH overstimulation. This may explain the variable histological patterns, nuclear features, and biologic behavior associated with these tumors. These tumors bear a striking histologic resemblance to metastatic renal cell carcinoma and clear cell neoplasms from other sites. Immunocytochemical stain for thyroglobulin proved to be a specific and sensitive method for identification of these tumors.

Am J Surg Pathol. 1984 Mar;8(3):187-92. Clear cell variant of thyroid carcinoma. Civantos F, Albores-Saavedra J, Nadji M, Morales AR.
Histopathology. 1986 Jan;10(1):75-89. Clear-cell carcinomas of thyroid gland: a clinicopathological study of 13 cases. Schröder S, Böcker W.
Bilder Typ
Histologie
Vergrösserung
200
Alter
67
Geschlecht
unbekannt
Datum
Ersteintrag: 20.05.2010
Update: 22.02.2011