PathoPic – image database / PathoPic ID 10638 - Intraduktale papilläre muzinöse Neoplasie mit mässiggradiger Dysplasie

de
Diagnose
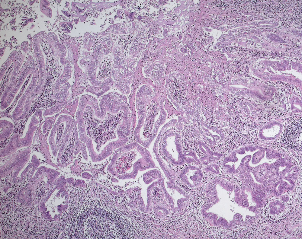
Intraduktale papilläre muzinöse Neoplasie mit mässiggradiger Dysplasie
Diagnose Gruppe
Präneoplasie/ Atypie/ Dignität?
Topographie
Pankreas
Topographie Gruppe
Leber, Gallenwege, Pankreas
Beschreibung
Intraduktale papilläre muzinöse Neoplasie (IPMN), pankreatobiliärer Typ mit mässiggradier Dysplasie. Der Tumor bildet im Bereich des Ductus pancreaticus papilläre und glanduläre Strukturen ausgekleidet von zylindrischem Epithel mit mässiggradigen Atypien.
Zusatzbefund
Maximaler Durchmesser 22mm, bis zur Papilla Vateri reichend. Im untersuchten Material keine Invasion nachweisbar.
Klinik
Tumor des Ductus Wirsungianus
Bilder Typ
Histologie
Vergrösserung
50
Alter
76
Geschlecht
männlich
Datum
Ersteintrag: 25.05.2010
Update: 18.02.2011