PathoPic – image database / PathoPic ID 10847 - Akute Soorösophagitis und bakterielle Ösophagitis

de
Diagnose
Akute Soorösophagitis und bakterielle Ösophagitis
Diagnose Gruppe
Entzündung infektiös
Topographie
Oesophagus
Topographie Gruppe
Oesophagus, Magen
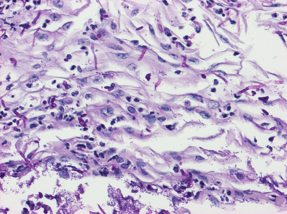
Beschreibung
Das oberflächliche Plattenepithel der Ösophagusschleimhaut ist diffus durchsetzt von Soorpseudohyphen und Sporen sowie sehr zahlreichen Stäbchenbakterien. Wenig neutrophile Granulozyten.
Klinik
50 jährige HIV positive Patientin, CDC3. Soorösophagitis. HSV? CMV?
Kommentar
Der Nachweis von Pseudohyphen ist Zeichen einer echten Infektion mit Soor (Gewebsinvasion). Der Nachweis von Sporen allein rechtfertigt nicht zur Diagnose einer Soorösophagitis (Mundflora). Eine bakterielle Ösophagitis liegt vor, wenn zahlreiche Bakterien das Gewebe invadieren. Diese tritt fast immer nur bei Immunsuppression auf. Der Nachweis von Bakterien an der Oberfläche von Ulzera entspricht hingegen eher einer Kolonisierung. Bakterien können sekundäre Pathogene bei einer viralen oder fungalen Infektion des Ösophagus darstellen.
Bilder Typ
Histologie
Vergrösserung
200
Alter
50
Geschlecht
unbekannt
Datum
Ersteintrag: 03.05.2011
Update: 29.08.2013