PathoPic – image database / PathoPic ID 10979 - pulmonale Kapillaritis bei Kollagenose

de
Diagnose
pulmonale Kapillaritis bei Kollagenose
Diagnose Gruppe
Systemerkrankung/Immunpathologie
Topographie
Lunge
Topographie Gruppe
Lunge, Mediastinum mit Thymus
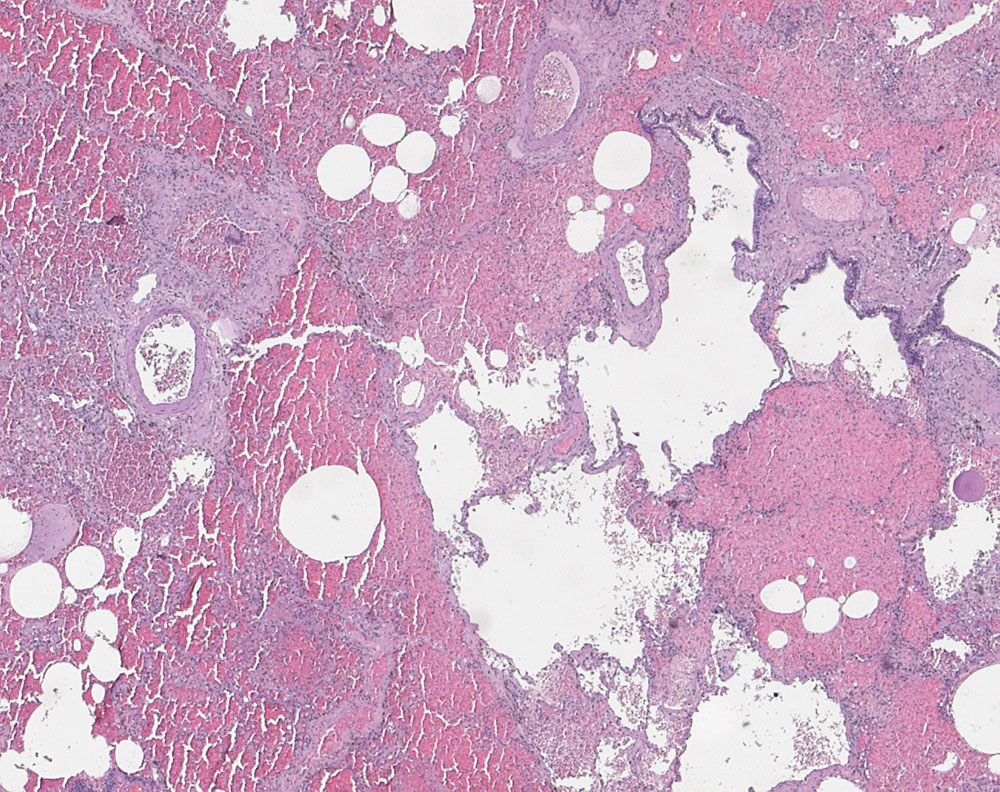
Beschreibung
Diffuse intraalveoläre Blutungen. Die Bronchiolen enthalten kein Blut.
Zusatzbefund
Autopsiebefunde: Karnifizierende Aspirationspneumonie. Diffuse alveoläre Blutungen in allen Lungenlappen. Rezidivierende extrakapilläre Glomerulonephritis. Rechtsbetonte Myokardhypertrophie. Sklerose der Submukosa des Ösophagus.
Klinik
72 jährige Patientin mit akutem Nierenversagen und pulmonalen Blutungen.
1. Verdacht auf ANCA-assoziierte Kleingefässvaskulitis mit Befall von Nieren und Lunge. ANCA-MPO positiv.
2. Verdacht auf Aspirationspneumonie
3. Hochgradiger Verdacht auf limitierte systemische Sklerodermie bekannt seit einem Jahr
4. Hyporegenerative normochrome normozytäre Anämie
5. Kachexie (BMI 13 kg/m2)
Kommentar
Es handelt sich hier um eine mit einer systemischen Sklerose assoziierte, MPO-ANCA positive Vaskulitis mit pulmorenalem Syndrom (extrakapilläre Glomerulonephritis und pulmonale Hämorrhagien mit Kapillaritis). Diese Assoziation wurde in der Literatur bereits mehrfach beschrieben. Semin Arthritis Rheum. 2011 Oct;41(2):223-9. Anti-neutrophil antibody associated vasculitis in systemic sclerosis. Arad U et al. PMID: 21277620
Bilder Typ
Histologie
Vergrösserung
25
Alter
72
Geschlecht
unbekannt
Datum
Ersteintrag: 15.12.2011
Update: 28.08.2013