PathoPic – image database / PathoPic ID 11005 - Atypisches Nebenschilddrüsenadenom

de
Diagnose
Atypisches Nebenschilddrüsenadenom
Diagnose Gruppe
Präneoplasie/ Atypie/ Dignität?
Topographie
Nebenschilddrüse
Topographie Gruppe
Endokrinium
Beschreibung
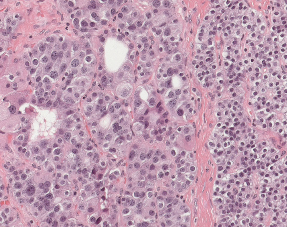
Die Tumorzellen links im Bild zeigen eine hohe Kern-Plasmarelation und Makronukleolen. Die Zellen rechts im Bild zeigen die Morphologie von Hauptzellen.
Zusatzbefund
Atypisches Adenom der Nebenschilddrüse mit schmaler Kapsel, breiten fibrösen Septen und ausgeprägten Zellatypien mit Makronukleolen. Gewicht: 3g. Max. Durchmesser: 13mm. Kein invasives Tumorwachstum. Kein Kapseldurchbruch. Keine Gefässeinbrüche. Keine Nekrosen. 1 Mitose auf 10 HPF. Proliferationsrate (Ki-67): <1%.
Klinik
44 jährige Patientin. Primärer Hyperparathyreoidismus. Vergrösserte Nebenschilddrüse.
Kommentar
Die auffallend breiten Fibrosesepten und Zellatypien lassen differentialdiagnostisch an ein Nebenschilddrüsenkarzinom denken. Sichere Malignitätskriterien wie Metastasen oder infiltratives Wachstum in umgebendes Gewebe wie Schilddrüse, Ösophagus, Nerven oder zervikales Weichteilgewebe oder Metastasen liegen hier nicht vor. Weitere Merkmale eines Nebenschilddrüsenkarzinoms fehlen ebenfalls (Kapseldurchbruch, Gefässeinbruch, >5 Mitosen/10 HPF, Nekrosen). Atypische Adenome werden als Tumoren mit unsicherem Malignitätspotential angesehen. Bei vollständiger Entfernung ist der Verlauf meist gutartig. Das atypische Adenom ist die häufigste Differentialdiagnose des Nebenschilddrüsenkarzinoms.
Bilder Typ
Histologie
Vergrösserung
200
Alter
44
Geschlecht
unbekannt
Datum
Ersteintrag: 15.12.2011
Update: 28.08.2013