PathoPic – image database / PathoPic ID 11359 - normale Felderhaut vom Oberschenkel, schwarze Hautfarbe

de
Diagnose
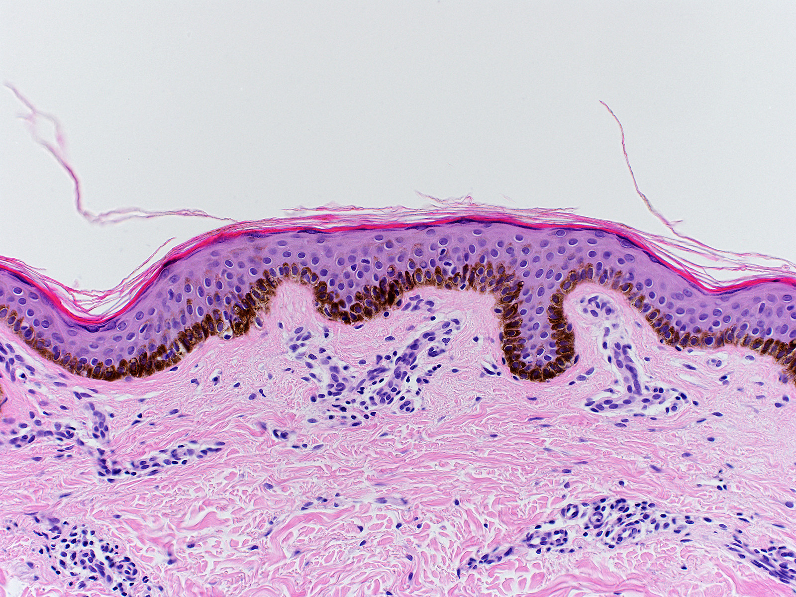
normale Felderhaut vom Oberschenkel, schwarze Hautfarbe
Diagnose Gruppe
Normalbefund
Topographie
Haut, untere Extremität
Topographie Gruppe
Haut
Beschreibung
Normale Haut eines Patienten schwarzer Hautfarbe. Die Melanozyten sind nicht vermehrt, produzieren aber grosse Mengen Melaninpigment, die an die Keratinozyten der basalen Epidermis abgegeben werden.
Klinik
Exzision einer Hautnarbe
Bilder Typ
Histologie
Vergrösserung
200
Alter
32
Geschlecht
männlich
Datum
Ersteintrag: 31.08.2015
Update: 20.11.2019