PathoPic – image database / PathoPic ID 1330 - Granularzelltumor

de
Diagnose
Granularzelltumor
Diagnose Gruppe
benigner Tumor
Topographie
Subkutis
Topographie Gruppe
Weichteile
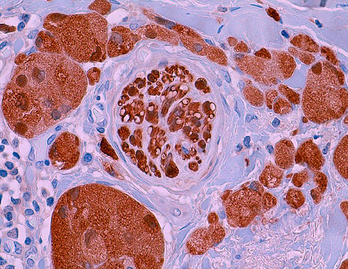
Beschreibung
Gruppen von Tumorzellen angeordnet um einen peripheren Nervenast.
Klinik
Subkutaner Tumor supraclaviculär.
Kommentar
Infiltrate eines Granularzelltumors in einem Lymphknoten entsprechen keinem Malignitätskriterium.
Histologisch sehen benigne und maligne Granularzelltumoren fast gleich aus. Hinweise auf mögliches malignes Verhalten: hohe Zellularität, kleinere längliche Zellen, mehr als 1 Mitose pro 10 HPF, Rezidiv, rasches Wachstum, grösser als 5cm.
Aus: Enzinger und Weiss, Soft Tissue Tumors, 3. Auflage, S. 864
Bilder Typ
Histologie
Immunhistochemie
S-100
Alter
59
Geschlecht
männlich
Datum
Ersteintrag: 05.12.2001