Wichtiger Sicherheitshinweis: Pathorama wurde zwischen dem 26. und 27. Dezember 2025 angegriffen. Falls Sie die Website in diesem Zeitraum besucht haben, lesen Sie bitte die wichtigen Informationen hier:
Zur Information

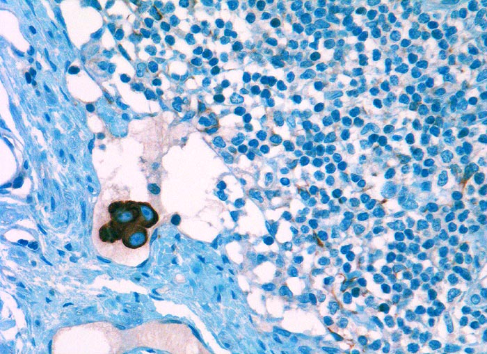
PathoPic – image database / PathoPic ID 1359 - Tumor Einzelzellen in Lymphknotenrandsinus bei Mammakarzinom

de
Diagnose
Tumor Einzelzellen in Lymphknotenrandsinus bei Mammakarzinom
Diagnose Gruppe
maligner Tumor
Topographie
Lymphknoten, Axilla
Topographie Gruppe
Lymphatische Gewebe, KM, Milz
Beschreibung
Stark positiv angefärbte Tumorzellgruppe in einem Randsinus des Lymphknotens. Die Tumorzellkerne tragen grosse Nukleolen. Im Lymphknotengewebe unspezifische Anfärbung von Reticulumzellen mit sternförmigen Zytoplasmaausläufern.
Zusatzbefund
Metastase im Sentinellymphknoten.
Bilder Typ
Histologie
Immunhistochemie
CK22
Alter
65
Geschlecht
unbekannt
Datum
Ersteintrag: 06.12.2001