Wichtiger Sicherheitshinweis: Pathorama wurde zwischen dem 26. und 27. Dezember 2025 angegriffen. Falls Sie die Website in diesem Zeitraum besucht haben, lesen Sie bitte die wichtigen Informationen hier:
Zur Information

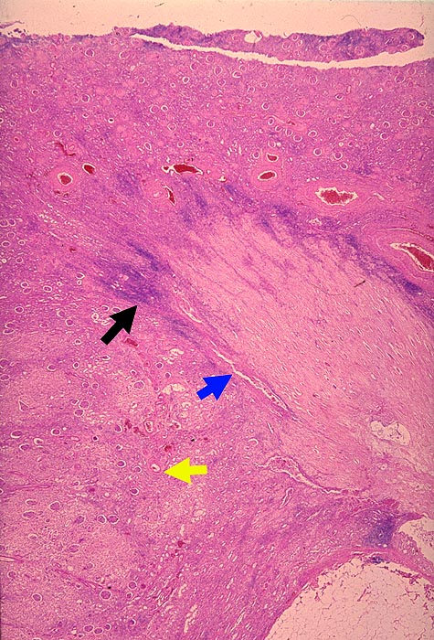
PathoPic – image database / PathoPic ID 1633 - Papillennekrosen bei Analgetikanephropathie

de
Diagnose
Papillennekrosen bei Analgetikanephropathie
Diagnose Gruppe
Therapiefolgen
Topographie
Niere
Topographie Gruppe
Niere, Harnwege
Beschreibung
Papille und grösster Teil des Nierenmarks sind vollständig nekrotisch. Die Papillennekrose wird mantelartig von einem überwiegend lymphozytären Infiltrat umgeben. In der Randzone der Papillennekrose typische schlitzförmige Defekte (die z.T. röntgenologisch dargestellt werden können). Die Nierenrinde über der Papillennekrose ist geschrumpft und eingesunken. Das Nierengewebe im Bereich der Columna Bertini ist wesentlich besser erhalten als das Rindengewebe unmittelbar über der Papillennekrose.
Bilder Typ
Histologie
Geschlecht
weiblich
Datum
Ersteintrag: 31.12.2001