Pathopic
HiPaKu
ZyPaKu
Projektinfos
PathoPic - Projekt- und Copyright-Info
About
Pathopic
HiPaKu
ZyPaKu
PathoPic – image database
/
PathoPic ID 1665 - Akute Tubulusnekrose
de
Diagnose
Akute Tubulusnekrose
Diagnose Gruppe
Therapiefolgen
Topographie
Niere
Topographie Gruppe
Niere, Harnwege
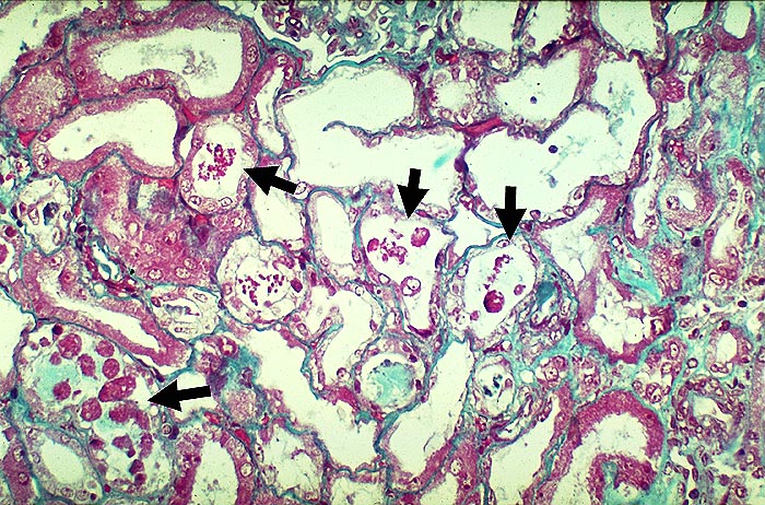
Beschreibung
Im Lumen der teilweise dilatierte Tubuli findet man abgestossene
►
nekrotische Tubulusepithelien. Nicht alle Tubuli sind gleichermassen betroffen.
Klinik
Gentamycintherapie.
Bilder Typ
Histologie
Geschlecht
weiblich
Datum
Ersteintrag: 02.01.2002
CPS
·
©
2025 Institut für Pathologie Basel
/
Dr. med. Katharina Glatz-Krieger
.
·
v2.2