PathoPic – image database / PathoPic ID 2203 - Endokapilläre Glomerulonephritis: Schlingennekrose

de
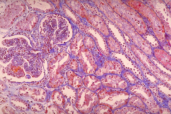
Diagnose
Endokapilläre Glomerulonephritis: Schlingennekrose
Diagnose Gruppe
Systemerkrankung/Immunpathologie
Topographie
Niere
Topographie Gruppe
Niere, Harnwege
Beschreibung
Glomeruläre Hyperzellularität infolge Vermehrung von neutrophilen Granulozyten und Monozyten. Frische Schlingennekrose mit Austritt von Fibrin in den Kapselraum bedeckt von einem ganz frischen Halbmond. Keine relevante Entzündung im umliegenden Interstitium.
Kommentar
Initial Glomerula vergrössert, blutarm, Schlingen ausgefüllt von gelapptkernigen Leukozyten und Monozyten. Später Mesangiumverbreiterung infolge Zellvermehrung (Mesangiumzellen und Monozyten). Keine mesangiale Matrixvermehrung. Glomerulumschlingen zum Teil wieder bluthaltig, teils von Monozyten angefüllt. Selten grosse, irregulär verteilte, subepitheliale Depots erkennbar.
Bilder Typ
Histologie
Alter
15
Geschlecht
männlich
Datum
Ersteintrag: 15.02.2002