PathoPic – image database / PathoPic ID 2388 - Morbus Recklinghausen: neurofibromatöses Gewebe

de
Diagnose
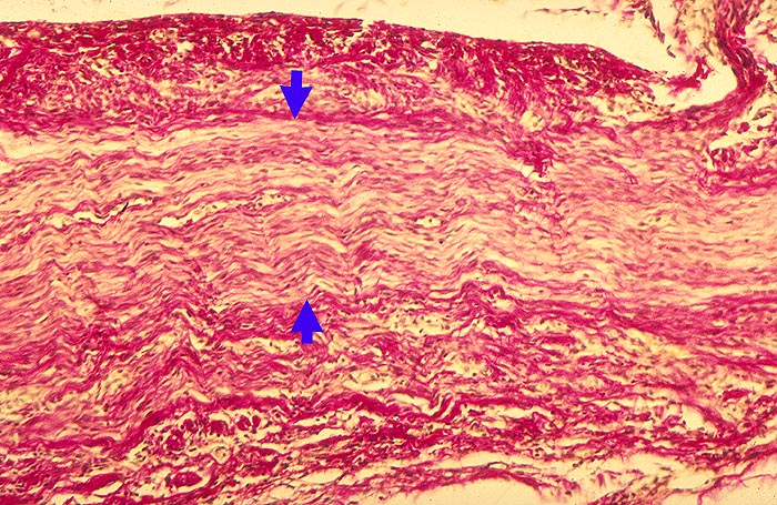
Morbus Recklinghausen: neurofibromatöses Gewebe
Diagnose Gruppe
angeboren /genetisch/Missbildung
Topographie
Harnblase
Topographie Gruppe
Niere, Harnwege
Beschreibung
Harnblasenwand: Anstelle der Harnblasenwandmuskulatur neurofibromatöses Gewebe.
Kommentar
Befall der Niere sehr selten. (weniger als 50 Fälle beschrieben). In den Nieren sind Arterien und Venen betroffen mit progredienter lumennaher zellreicher Intimafibrose wahrscheinlich als Folge einer Proliferation von Myofibroblasten. In den ableitenden Harnwegen neurofibromatöse Proliferate.
Bilder Typ
Histologie
Alter
0.417
Geschlecht
männlich
Datum
Ersteintrag: 06.03.2002