PathoPic – image database / PathoPic ID 2737 - mesangioproliferative Glomerulonephritis bei IgA-Nephritis

de
Diagnose
mesangioproliferative Glomerulonephritis bei IgA-Nephritis
Diagnose Gruppe
Systemerkrankung/Immunpathologie
Topographie
Niere
Topographie Gruppe
Niere, Harnwege
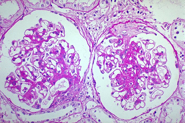
Beschreibung
In einem der Glomeruli ist eine deutliche Mesangiumverbreiterung erkennbar ohne auffallende Zellvermerhung. Im anderen Glomerulus ist ein Schlingensegment besonders stark betoffen. Darüber liegt ein sklerosierter Halbmond.
Kommentar
Bei der IgA Nephritis sind alle morphologischen Formen der Glomerulonephritis möglich ausser die epimembranöse Glomerulonephritis.
In grossen Serien:
glomeruläre Minimalveränderungen bei 15%
Mesangioproliferative Glomerulonephritis bei 25%
segmental fokal proliferative Glomerulonephritis bei 55%
häufig segmentale extrakapilläre Halbmonde.
Bilder Typ
Histologie
Alter
25
Geschlecht
unbekannt
Datum
Ersteintrag: 26.02.2002