PathoPic – image database / PathoPic ID 3068 - Juveniler Polyp

de
Diagnose
Juveniler Polyp
Diagnose Gruppe
benigner Tumor
Topographie
Kolon
Topographie Gruppe
Darm, Anus
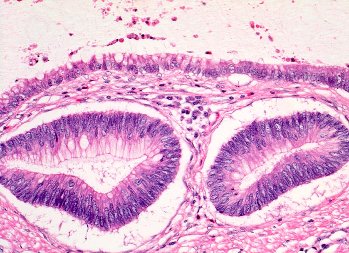
Beschreibung
Oben im Bild eine zystisch dilatierte Drüse. Unten im Bild zwei kleinere Tubuli ausgekleidet von geringgradig atypischem Kolonepithel.
Zusatzbefund
2cm grosser gestielter Polyp. Auf Schnitt sind zahlreiche schleimgefüllte Zysten sichtbar. Drei weitere Kolonschleimhautadenome.
Klinik
Positiver Hämocculttest.
Kommentar
Der juvenile Polyp kann sowohl im Rahmen verschiedener juveniler Polyposis Syndrome als auch wie in diesem Fall sporadisch auftreten. In letzterem Fall treten diese Polypen auch bei älteren Patienten auf. Der solitäre juvenile Polyp ist der häufigste Typ von Polyp bei Kindern.
Bilder Typ
Histologie
Vergrösserung
25
Alter
61
Geschlecht
männlich
Datum
Ersteintrag: 21.03.2002