PathoPic – image database / PathoPic ID 3073 - Idiopathische granulomatöse Orchitis

de
Diagnose
Idiopathische granulomatöse Orchitis
Diagnose Gruppe
Entzündung / Reparatur
Topographie
Hoden
Topographie Gruppe
Genitalorgane, männlich
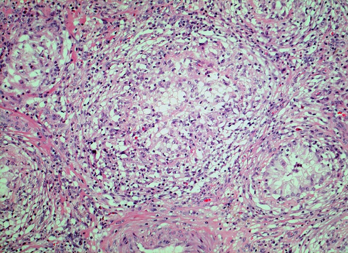
Beschreibung
Die Hodentubuli sind atroph und kaum noch erkennbar im dichten gemischten Entzündungsinfiltrat.
Zusatzbefund
Kein Erregernachweis.
Klinik
Fieber und einseitige Hodenschwellung.
Kommentar
Im Gegensatz zur infektiösen Orchitis finden sich neben interstitiellen auch intratubuläre Entzündungsinfiltrate und die Entzündung ist meist nur einseitig. Meist finden sich nur angedeutete Granulome bestehend aus Histiozyten und Riesenzellen.
Bilder Typ
Histologie
Vergrösserung
100
Alter
42
Geschlecht
männlich
Datum
Ersteintrag: 21.03.2002
Update: 30.07.2010