PathoPic – image database / PathoPic ID 3097 - embryonales Rhabdomyosarkom des Samenstrangs

de
Diagnose
embryonales Rhabdomyosarkom des Samenstrangs
Diagnose Gruppe
maligner Tumor
Topographie
Funiculus spermaticus
Topographie Gruppe
Genitalorgane, männlich
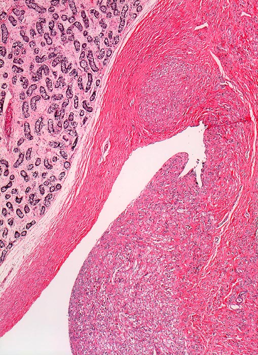
Beschreibung
Links im Bild der unreife Hoden eines präpubertären Knaben. Der anhaftende Samenstrang zeigt eine tumoröse Verdickung. Bereits in der Übersicht sind innerhalb des Tumors einzelne grosse Tumorzellen sichtbar, die in einem artefiziellen Spaltraum liegen.
Zusatzbefund
Immunhistochemischer Nachweis von Myoglobin und Aktin in den Tumorzellen.
Klinik
Rasch wachsender einseitiger Hodentumor. Hydrocele.
Kommentar
Rhabdomyosarkome treten praktisch nur bei Kindern auf. Das embryonale Rhabdomyosarkom hat eine intermediäre Prognose. Die meisten paratestikulären Rhabdomyosarkome sind vom embryonalen Typ.
Bilder Typ
Histologie
Vergrösserung
25
Alter
7
Geschlecht
männlich
Datum
Ersteintrag: 21.03.2002
Update: 10.08.2010