Pathopic
HiPaKu
ZyPaKu
PathoBasic
PathoBasic Cytology
Quizzes
Projektinfos
PathoPic - Projekt- und Copyright-Info
About
Pathopic
HiPaKu
ZyPaKu
PathoBasic
PathoBasic Cytology
Quizzes
PathoPic – image database
/
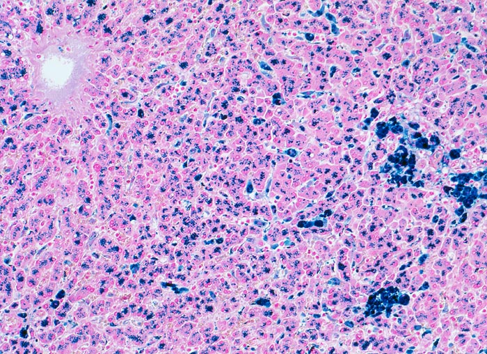
PathoPic ID 3253 - Hämochromatose
de
Diagnose
Hämochromatose
Diagnose Gruppe
Artefakt / Fremdkörper / Pigment
Topographie
Leber
Topographie Gruppe
Leber, Gallenwege, Pankreas
Beschreibung
Links oben im Bild eine Zentralvene. Das Parenchym zeigt diffuse grobgranuläre Eisenpigmentablagerungen. Die dunkelblauen Flecken enstprechen einzeln und in Gruppen liegenden
Kupffer'schen Sternzellen, welche stark eisenbeladen sind.
Klinik
Genetische Hämochromatose vom homozygoten Typ.
Bilder Typ
Histologie
Vergrösserung
100
Alter
58
Geschlecht
männlich
Datum
Ersteintrag: 22.09.2002
CPS
·
©
2024 Institut für Pathologie Basel
/
Dr. med. Katharina Glatz-Krieger
.
·
v2.1