Wichtiger Sicherheitshinweis: Pathorama wurde zwischen dem 26. und 27. Dezember 2025 angegriffen. Falls Sie die Website in diesem Zeitraum besucht haben, lesen Sie bitte die wichtigen Informationen hier:
Zur Information

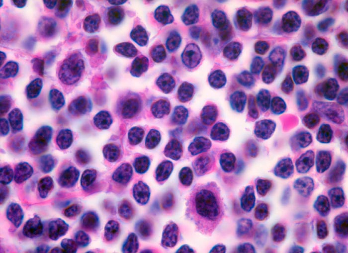
PathoPic – image database / PathoPic ID 3336 - extranodales Marginalzonenlymphom vom MALT-Typ

de
Diagnose
extranodales Marginalzonenlymphom vom MALT-Typ
Diagnose Gruppe
maligner Tumor
Topographie
Magen
Topographie Gruppe
Oesophagus, Magen
Beschreibung
Die neoplastischen Zellen zeigen eine teils lymphozytoide, teils zentrozytoide Differenzierung. Die Kerne sind klein und rund oder leicht eckig. Wenig Zytoplasma. Eingestreut einzelne deutlich grössere Blasten.
Kommentar
Die Zellen des MALT Lymphoms können zentrozytoid, monozytoid, lymphozytoid oder plasmazellulär differenziert sein. Diese Vielgestalt der Morphologie kann die Differentialdiagnose mit anderen kleinzelligen B-Zell Lymphomen erschweren.
Bilder Typ
Histologie
Vergrösserung
630
Alter
77
Geschlecht
männlich
Datum
Ersteintrag: 12.11.2001