Wichtiger Sicherheitshinweis: Pathorama wurde zwischen dem 26. und 27. Dezember 2025 angegriffen. Falls Sie die Website in diesem Zeitraum besucht haben, lesen Sie bitte die wichtigen Informationen hier:
Zur Information

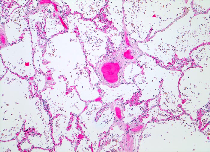
PathoPic – image database / PathoPic ID 3379 - chronische Lungenstauung

de
Diagnose
chronische Lungenstauung
Diagnose Gruppe
vaskulär / Durchblutungsstörung
Topographie
Lunge
Topographie Gruppe
Lunge, Mediastinum mit Thymus
Beschreibung
In den Alveolarräumen sind schon bei dieser Vergrösserung zahlreiche hämosiderinbeladene braune Alveolarmakrophagen erkennbar. Die Venen zeigen eine deutliche Sklerose. Die Kapillaren in den Alveolarsepten treten aufgrund der starken Blutfülle deutlich hervor (akute Stauung). Zusätzlich sind die Alveolarsepten als Folge der chronischen Stauung diskret fibrosiert
Zusatzbefund
-
Klinik
Patient mit koronarer Herzkrankheit und Linksherzinsuffizienz.
Kommentar
Die Eindrückbarkeit des Lungenparenchyms bei der makroskopischen Untersuchung ist aufgrund der Fibrose vermindert.
Bilder Typ
Histologie
Vergrösserung
50
Alter
64
Geschlecht
männlich
Datum
Ersteintrag: 22.09.2002