Wichtiger Sicherheitshinweis:
Pathorama wurde zwischen dem
26. und 27. Dezember 2025
angegriffen. Falls Sie die Website in diesem Zeitraum besucht haben, lesen Sie bitte die wichtigen Informationen hier:
Zur Information
Pathopic
HiPaKu
ZyPaKu
Projektinfos
PathoPic - Projekt- und Copyright-Info
About
Pathopic
HiPaKu
ZyPaKu
PathoPic – image database
/
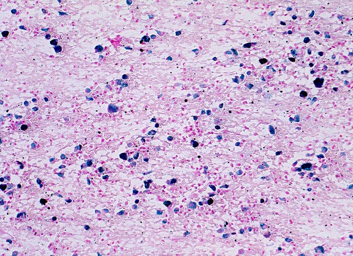
PathoPic ID 3382 - chronische Lungenstauung: Herzfehlerzellen
de
Diagnose
chronische Lungenstauung: Herzfehlerzellen
Diagnose Gruppe
vaskulär / Durchblutungsstörung
Topographie
Sputum
Topographie Gruppe
Lunge, Mediastinum mit Thymus
Beschreibung
Im Sputumausstrich sind in der Eisenfärbung zahlreiche Makrophagen erkennbar, die eisenhaltiges Hämosiderin enthalten.
Zusatzbefund
-
Klinik
Patient mit koronarer Herzkrankheit und Linksherzinsuffizienz.
Bilder Typ
Zytologie
Vergrösserung
100
Alter
64
Geschlecht
männlich
Datum
Ersteintrag: 16.12.2001
CPS
·
©
2025 Institut für Pathologie Basel
/
Dr. med. Katharina Glatz-Krieger
.
·
v2.2