Pathopic
HiPaKu
ZyPaKu
PathoBasic
PathoBasic Cytology
Quizzes
Projektinfos
PathoPic - Projekt- und Copyright-Info
About
Pathopic
HiPaKu
ZyPaKu
PathoBasic
PathoBasic Cytology
Quizzes
PathoPic – image database
/
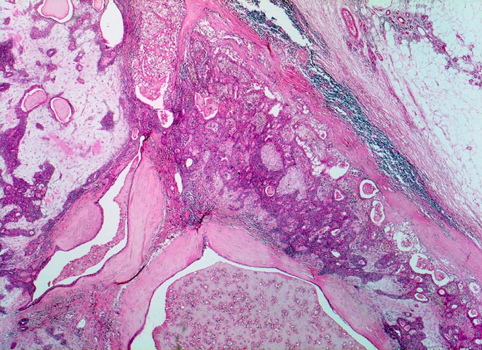
PathoPic ID 3419 - Pleomorphes Adenom der Speicheldrüse
de
Diagnose
Pleomorphes Adenom der Speicheldrüse
Diagnose Gruppe
benigner Tumor
Topographie
Parotis
Topographie Gruppe
Kopf & Hals, Sinnesorgane
Beschreibung
Rechts im Bild wenig
Parotisgewebe in reichlich Fettgewebe. Daran angrenzend eine
bindegewebige Kapsel und ein aus verschiedenen Geweben (pleomorph)aufgebauter Tumor.
Zusatzbefund
5cm grosser bekapselter Tumor in der linken Parotis.
Klinik
Schmerzlose Vergrösserung der Parotis.
Bilder Typ
Histologie
Vergrösserung
25
Alter
54
Geschlecht
unbekannt
Datum
Ersteintrag: 17.12.2001
Update: 21.12.2007
CPS
·
©
2024 Institut für Pathologie Basel
/
Dr. med. Katharina Glatz-Krieger
.
·
v2.1