Wichtiger Sicherheitshinweis: Pathorama wurde zwischen dem 26. und 27. Dezember 2025 angegriffen. Falls Sie die Website in diesem Zeitraum besucht haben, lesen Sie bitte die wichtigen Informationen hier:
Zur Information

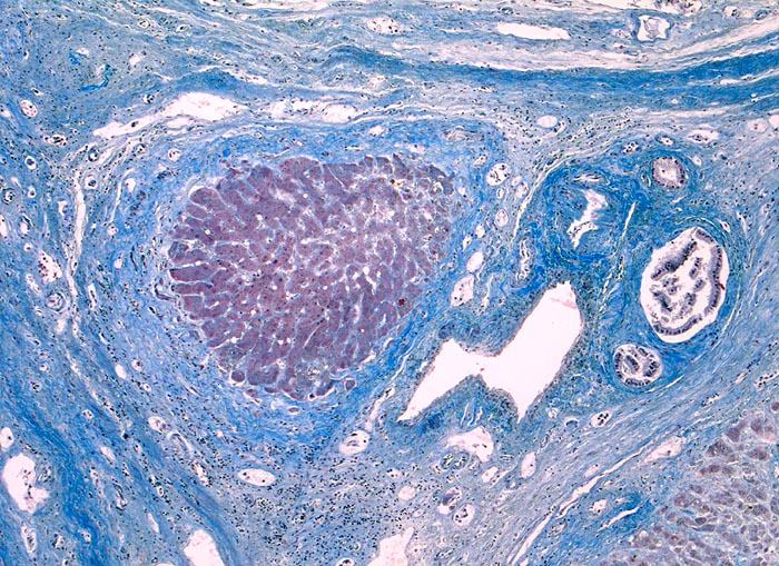
PathoPic – image database / PathoPic ID 3467 - Primäre biliäre Zirrhose im Stadium der Zirrhose

de
Diagnose
Primäre biliäre Zirrhose im Stadium der Zirrhose
Diagnose Gruppe
Systemerkrankung/Immunpathologie
Topographie
Leber
Topographie Gruppe
Leber, Gallenwege, Pankreas
Beschreibung
Feinknotiger zirrhotischer Umbau mit auffallend breiten Bindegewebssepten mit lockerem Entzündungsinfiltrat und Ductulusproliferation.
Zusatzbefund
-
Klinik
Ikterische Patientin mit Müdigkeit und Pruritus. Positive antimitochondriale Antikörper Fraktion M2. Stark erhöhte Cholestaseparameter (alkalische Phosphatase und gamma-GT).
Kommentar
Die PBC kann in vier Stadien eingeteilt werden, wobei die einzelnen Stadien oftmals nebeneinander in derselben Leber vorkommen können.
I. floride Gallengangsläsion in den Portalfeldern
II. periportale Entzündungsinfiltration und Ductulusproliferation
III. Faservermehrung mit septaler Narbenbildung
IV. biliäre Zirrhose
Bilder Typ
Histologie
Vergrösserung
50
Alter
58
Geschlecht
unbekannt
Datum
Ersteintrag: 30.12.2001