PathoPic – image database / PathoPic ID 3711 - akute Deziduitis basalis (Endometritis)

de
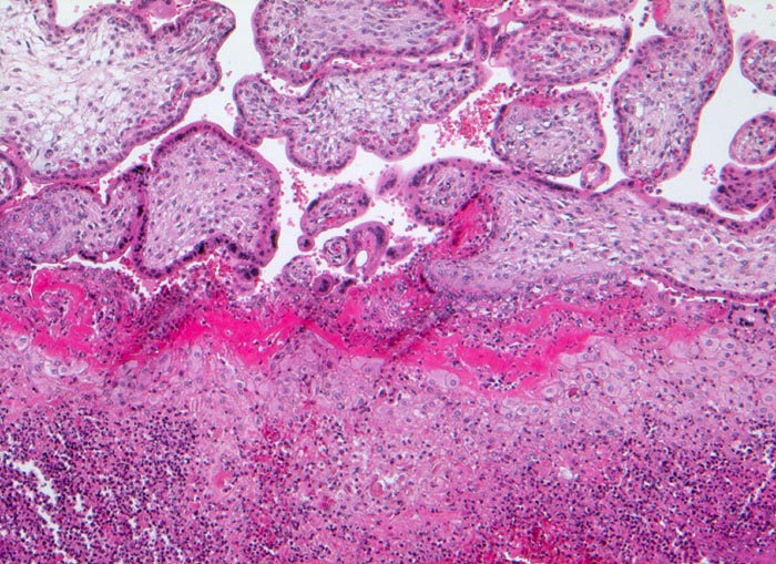
Diagnose
akute Deziduitis basalis (Endometritis)
Diagnose Gruppe
Entzündung infektiös
Topographie
Plazenta
Topographie Gruppe
Paidopathologie
Beschreibung
Einschmelzende Entzündung im Bereich der Dezidua basalis. Daran angrenzend gut erhaltende Plazentarzotten aus Frühschwangerschaft.
Klinik
hochfieberhafter Infekt der Mutter in der 14. SSW 24 Stunden vor Fehlgeburt. Staphylococcus aureus im Lungengewebe des Feten nachweisbar.
Kommentar
Die infektiöse Entzündung im Bereich der Basalplatte muss abgegrenzt werden von einer blanden Abstossungreaktion nach bereits eingetretenem Fruchttod. Bei akutem Beginn der Entzündung, Erregernachweis im Fetus und gutem Erhaltungszustand der Plazentarzotten kann von einer Infektion ausgegangen werden. Eine basale Plazentitis entsteht seltener hämatogen oder infolge einer fortgeleiteten Endometritis, häufiger bei aszendierter Amnionentzündung mit Übergreifen auf den Plazentarand und die Basis mit konsekutiver Lösungsblutung.
Bilder Typ
Histologie
Vergrösserung
100
Alter
-14
Geschlecht
unbekannt
Datum
Ersteintrag: 31.12.2001