PathoPic – image database / PathoPic ID 3722 - Windmole bei Trisomie 7

de
Diagnose
Windmole bei Trisomie 7
Diagnose Gruppe
angeboren /genetisch/Missbildung
Topographie
Abortmaterial
Topographie Gruppe
Paidopathologie
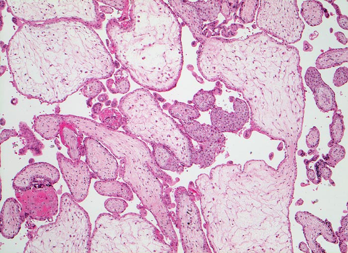
Beschreibung
Gestörte Zottenverzweigungen. Mangelhafte Vaskularisation und hydropische Umwandlung des Stromas der Plazentarzotten. Trophoblast über weite Strecken einreihig und abgeflacht.
Zusatzbefund
Zytogenetisch 47, XY, +7
Klinik
32 jährige mit missed abortion in der 11. SSW
Kommentar
Morphologisch deskriptiv: Windmole. Mit 50% machen die Trisomien die häufigste Gruppe der Chromosomenaberrationen aus. Einige führen zum Frühabort (Trisomie 16, 7). Die Zotten zeigen mehr oder weniger herdförmige Entwicklungsstörungen, die den Verdacht auf eine Chromosomenaberration erlauben.
Bilder Typ
Histologie
Vergrösserung
25
Alter
-11
Geschlecht
männlich
Datum
Ersteintrag: 07.04.2002
Update: 27.04.2007