Wichtiger Sicherheitshinweis: Pathorama wurde zwischen dem 26. und 27. Dezember 2025 angegriffen. Falls Sie die Website in diesem Zeitraum besucht haben, lesen Sie bitte die wichtigen Informationen hier:
Zur Information

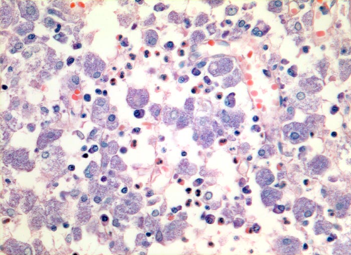
PathoPic – image database / PathoPic ID 3728 - atypische Mykobakteriose (Mycobacterium avium intracellulare)

de
Diagnose
atypische Mykobakteriose (Mycobacterium avium intracellulare)
Diagnose Gruppe
Entzündung infektiös
Topographie
Lymphknoten, Kopf-cervikal
Topographie Gruppe
Lymphatische Gewebe, KM, Milz
Beschreibung
Grossleibige histiozytäre Zellen mit fein granuliertem Zytoplasma. Daneben wenig Plasmazellen und Granulozyten.
Zusatzbefund
Ziehl-Neelsen Färbung: die Histiozyten sind voll von säurefesten Stäbchen.
Klinik
Seit 3 Jahren HIV positiv.
Kommentar
Das Bild der mykobakteriellen Histiozytose wird vor allem durch atypische Mykobakterien verursacht, vereinzelt aber auch durch Mykobakterium tuberculosis.
Bilder Typ
Histologie
Vergrösserung
320
Alter
26
Geschlecht
männlich
Datum
Ersteintrag: 31.12.2001