PathoPic – image database / PathoPic ID 4054 - hyperplastisches Urothel ohne Dysplasie

de
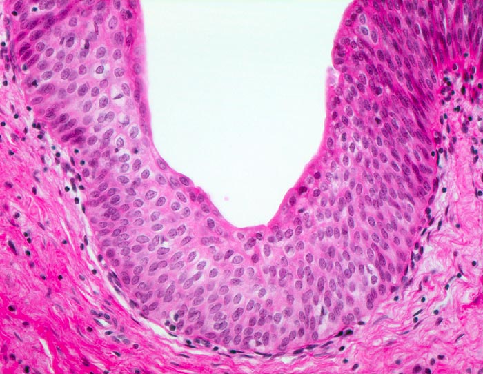
Diagnose
hyperplastisches Urothel ohne Dysplasie
Diagnose Gruppe
Hyperplasie / Hypertrophie
Topographie
Ureter
Topographie Gruppe
Niere, Harnwege
Beschreibung
Regelmässiges mehr als 7 reihiges Urothel ohne Dysplasie. An der Oberfläche einlagige Deckzellschicht mit dichterem Zytoplasma.
Zusatzbefund
Stenose am pyeloureteralen Übergang.
Bilder Typ
Histologie
Vergrösserung
200
Alter
22
Geschlecht
männlich
Datum
Ersteintrag: 04.03.2002