Wichtiger Sicherheitshinweis:
Pathorama wurde zwischen dem
26. und 27. Dezember 2025
angegriffen. Falls Sie die Website in diesem Zeitraum besucht haben, lesen Sie bitte die wichtigen Informationen hier:
Zur Information
Pathopic
HiPaKu
ZyPaKu
Projektinfos
PathoPic - Projekt- und Copyright-Info
About
Pathopic
HiPaKu
ZyPaKu
PathoPic – image database
/
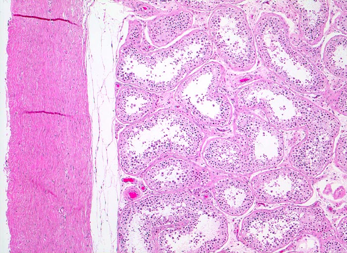
PathoPic ID 4123 - normales Hodenparenchym und Tunica albuginea
de
Diagnose
normales Hodenparenchym und Tunica albuginea
Diagnose Gruppe
Normalbefund
Topographie
Hoden
Topographie Gruppe
Genitalorgane, männlich
Beschreibung
Unauffälliges Hodenparenchym mit ausreifender Spermiogenese. Links im Bild die dichte kollagenfasrige Tunica albuginea.
Bilder Typ
Histologie
Vergrösserung
50
Alter
43
Geschlecht
männlich
Datum
Ersteintrag: 04.03.2002
Update: 30.07.2010
CPS
·
©
2025 Institut für Pathologie Basel
/
Dr. med. Katharina Glatz-Krieger
.
·
v2.2