PathoPic – image database / PathoPic ID 4210 - Intraduktales Papillom mit Dcis: Stichkanal nach Nadelbiopsie

de
Diagnose
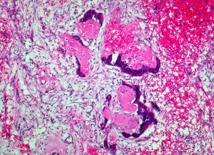
Intraduktales Papillom mit Dcis: Stichkanal nach Nadelbiopsie
Diagnose Gruppe
Präneoplasie/ Atypie/ Dignität?
Topographie
Mamma
Topographie Gruppe
Mamma
Beschreibung
Maschenwerk von Fibroblasten mit frischer Einblutung. Ins Maschenwerk eingebettet versprengte Anteile eines papillären Tumors (Stichkanal nach Nadelbiopsie).
Bilder Typ
Histologie
Vergrösserung
100
Alter
44
Geschlecht
unbekannt
Datum
Ersteintrag: 10.07.2002
Update: 24.02.2005