PathoPic – image database / PathoPic ID 4326 - Cholestatische Mallory-Denk bodies

de
Diagnose
Cholestatische Mallory-Denk bodies
Diagnose Gruppe
organspezifische Erkrankung
Topographie
Leber
Topographie Gruppe
Leber, Gallenwege, Pankreas
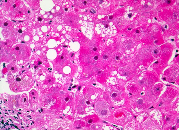
Beschreibung
Ballonierte Hepatozyten mit feintropfiger Verfettung. Einzelne enthalten cholestatische Mallory-Denk bodies.
Klinik
Adipositas permagna. Unklare Cholestase.
Bilder Typ
Histologie
Vergrösserung
320
Alter
80
Geschlecht
unbekannt
Datum
Ersteintrag: 05.04.2002
Update: 06.02.2009