Wichtiger Sicherheitshinweis: Pathorama wurde zwischen dem 26. und 27. Dezember 2025 angegriffen. Falls Sie die Website in diesem Zeitraum besucht haben, lesen Sie bitte die wichtigen Informationen hier:
Zur Information

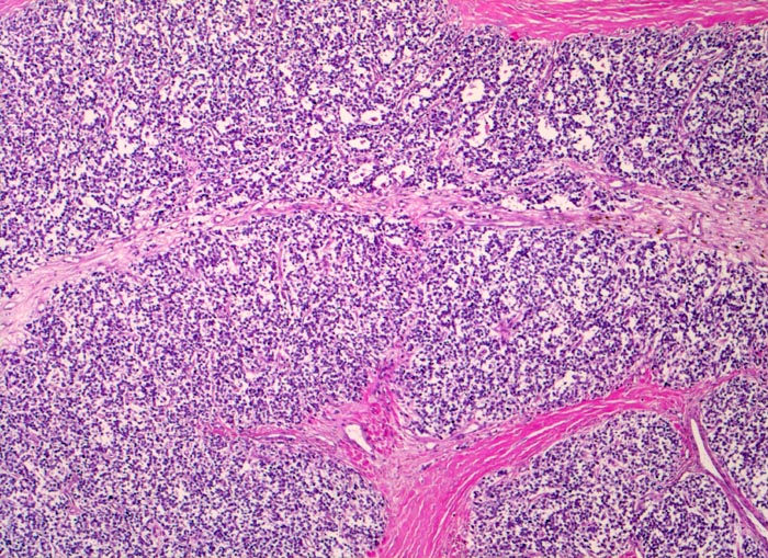
PathoPic – image database / PathoPic ID 4514 - Ewing-Sarkom

de
Diagnose
Ewing-Sarkom
Diagnose Gruppe
maligner Tumor
Topographie
Weichteile Bein
Topographie Gruppe
Weichteile
Beschreibung
Monotoner Rasen kleiner runder blauer Tumorzellen durchzogen von bindegewebigen Septen.
Klinik
Zunehmende Schmerzen im rechten Oberschenkel mit Weichteilschwellung- und Erwärmung seit mehreren Monaten. Keine Traumaanamnese. Klinisch wird zunächst eine Osteomyelitis vermutet.
Bilder Typ
Histologie
Vergrösserung
50
Alter
12
Geschlecht
männlich
Datum
Ersteintrag: 15.04.2002