PathoPic – image database / PathoPic ID 4569 - Dedifferenziertes Chondrosarkom

de
Diagnose
Dedifferenziertes Chondrosarkom
Diagnose Gruppe
maligner Tumor
Topographie
Knochen, Femur
Topographie Gruppe
Knochen, Knorpel, Gelenke
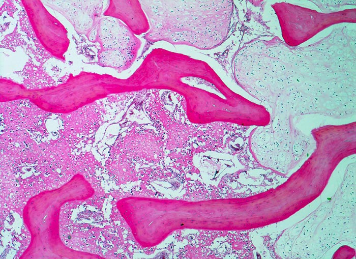
Beschreibung
In der Übersicht ist die scharfe Grenze zwischen hochdifferenziertem Chondrosarkom (rechts) und dedifferenzierter Osteosarkomkomponente (links) sichtbar.
Zusatzbefund
An anderer Stelle gleicht der Tumor einem malignen fibrösen Histiozytom.
Klinik
Pathologische Schenkelhalsfraktur. Unscharf begrenzte Osteolysezone im Bereich des Schenkelhalses.
Kommentar
Dedifferenzierte Chondrosarkome sind dadurch gekennzeichnet, dass Anteile eines hochdifferenzierten Chondrosarkoms abrupt übergehen in Anteile eines hochmalignen Tumors (Osteosarkom, Malignes fibröses Histiozytom...). Im Gegensatz zum Osteosarkom bestehen beim dedifferenzierten Chondrosarkom keine fliessenden Übergänge zwischen den unterschiedlichen Komponenten und die Chondrosarkomkomponente ist höher differenziert als im Osteosarkom mit chondroider Matrixbildung.
Bilder Typ
Histologie
Vergrösserung
25
Alter
88
Geschlecht
unbekannt
Datum
Ersteintrag: 06.05.2002