Wichtiger Sicherheitshinweis: Pathorama wurde zwischen dem 26. und 27. Dezember 2025 angegriffen. Falls Sie die Website in diesem Zeitraum besucht haben, lesen Sie bitte die wichtigen Informationen hier:
Zur Information

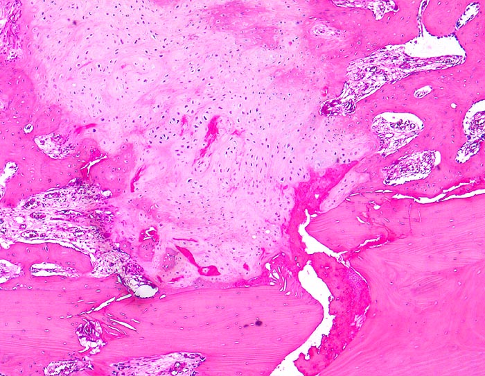
PathoPic – image database / PathoPic ID 4597 - sekundäre Frakturheilung: Frakturspalt

de
Diagnose
sekundäre Frakturheilung: Frakturspalt
Diagnose Gruppe
Trauma / mechanischer Schaden
Topographie
Knochen, Rippe
Topographie Gruppe
Knochen, Knorpel, Gelenke
Beschreibung
Frakturspalt mit Fibrinablagerungen und neugebildetem, teils mineralisiertem Knorpel. Devitalisierter ortsständiger Knochen mit leeren Osteozytenhöhlen. Markraumfibrose.
Klinik
Konservativ behandelte Rippenfraktur nach Sturz vor einem Monat.
Kommentar
Der Nachweis von neugebildetem Knorpel entlang der Frakturlinie im Innern des Knochens ist ein Charakteristikum vor allem der Rippenfraktur als Folge einer mangelhaften Ruhigstellung. Die notwendige Resorption des avitalen Knochens führt zu einer Heilungsverzögerung.
Bilder Typ
Histologie
Vergrösserung
160
Alter
82
Geschlecht
männlich
Datum
Ersteintrag: 06.10.2002