PathoPic – image database / PathoPic ID 4959 - eosinophile Ösophagitis

de
Diagnose
eosinophile Ösophagitis
Diagnose Gruppe
Entzündung / Reparatur
Topographie
Oesophagus
Topographie Gruppe
Oesophagus, Magen
Beschreibung
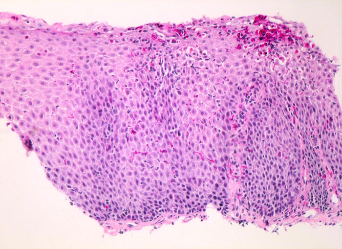
Die Ösophagusschleimhaut zeigt stark verlängerte Papillen, eine Verdickung der Basalzellschicht und ein eindrückliches Infiltrat eosinophiler Granulozyten vor allem im oberen Schleimhautdrittel. Daneben finden sich auch mononukleäre Zellen.
Zusatzbefund
Frühere Biopsien aus den letzten 8 Jahren zeigen einen vergleichbaren Befund. Biopsien aus dem mittleren und distalen Ösophagus zeigen ähnliche Veränderungen. Biopsien aus dem Magen zeigen keinen pathologischen Befund und keine Eosinophilie.
Klinik
Endoskopisch weisse Auflagerungen (Parakeratose?)
Kommentar
Nach Ausschluss einer Refluxösphagitis (kein Ansprechen auf Refluxtherapie), einer Infektion oder einer Medikamentennebenwirkung ist der vorliegende Befund vereinbar mit einer eosinophilen Ösophagitis. Histologisch finden sich >20 Eosinophile/HPF mit extensiver Degranulation. Die Eosinophilen liegen vor allem in der oberen Epithelhälfte und bilden oberflächliche eosinophile Mikroabszesse. Oberflächliche Abschilferung nekrotischer Keratinozyten gemischt mit Eosinophilen.
Mehr dazu unter: http://www.thedoctorsdoctor.com/diseases2/esophagitis_eosinophilic.htm
Bilder Typ
Histologie
Vergrösserung
200
Alter
46
Geschlecht
männlich
Datum
Ersteintrag: 12.06.2002